ネオキャップ・ビムラー矯正
「ネオキャップ」と言われる白いプラスチック製の被せ物と、取り外し可能な「ビムラー」と言われる装置を使用し、お子さんがもともと持っている口腔機能の成長発育を促すことで歯並びを整えていく治療法です。ビムラーは、1日8時間以上の使用が必要条件となります。睡眠時の使用を基本としていますが、より効果を高める為に、当院では、日中1時間以上の装着をプラスすることをおすすめしています。
国際機能矯正臨床研究会(IFOCS)より認可を受けた歯科医院でのみ取り扱いが可能です。 装置は取り外し式で、基本的には外出時に使用しませんので、見た目を気にすることなく、通常通り歯磨きもできます。
また、従来の矯正装置のように強制的に力を加えるものではないので痛みが少なく、お口まわりの筋肉のバランスを整え、歯並びが悪くなる原因を根本から取り除くため、治療後の後戻りが少ないのも特徴です。
口腔筋機能療法(MFT:マイオファンクショナルセラピー)
乳歯の生えそろう2,5歳~3歳ころより、舌や唇、頬などの口まわりの筋肉の年齢に応じた成長発育が非常に大切です。MFTでは、将来、歯並びの不正の要因となりうる舌の癖や口呼吸などの悪習癖の除去し、お口まわりの正常な機能発育を促すために行います。
口腔周囲筋のバランスを整えることは、矯正終了後の後戻りを防ぐためにも有効です。
MFTの魅力①
MFTのアンチエイジング効果
MFTは口腔周囲筋の力のバランスを整えることで表情筋の活性化、柔軟化、血流増加につながり、顔貌の改善にも役立ちます。ぜひ、ご家族で一緒にトレーニングをされてみてはいかがでしょうか。
MFTの魅力②
オーラルフレイルの予防対策
日本歯科医師会では加齢による筋力や運動機能の低下の前段階で、お口周りの不調を「オーラルフレイル」と名付け、早期発見、早期対応を推奨しております。
MFTを実践していくことで、噛む力の低下や舌の動きの悪化、食べる量の低下、唾液量の維持などにつながり、オーラルフレイルの予防対策になると考えております。
インビザライン・インビザラインGo(マウスピース矯正)
インビザラインはアライン・テクノロジー社が開発し、100ヵ国以上で1200万人を越える治療実績をもつマウスピース矯正です。
専用のマウスピースを着用して歯並びを整える矯正します。(2022年5月時点)
認定医による診療
本院では、アライン・テクノロジー社の認定医である「インビザライン認定ドクター」が担当いたします。
そのため安心して治療を受けることができます。
バレない矯正
従来の矯正治療では見た目が気になるからという理由で矯正を躊躇われる患者様がいらっしゃいました。
インビザラインであれば、マウスピースが透明なため見た目を気にせず着用することができます。

金属アレルギーの心配もない
従来の矯正では長期間の矯正器具の着用によって、金属イオンが漏れだし体内に蓄積されることで金属アレルギーを誘発するケースがございます。しかしながらインビザラインであれば金属を使用していないため、金属アレルギーに関する心配も必要ございません。
痛くなりづらい治療
従来の矯正治療では歯を抜く場合もあり、矯正を躊躇われる原因でした。
インビザラインであれば歯を抜く必要はなく、加えてマウスピースの厚みはわずか0.5mmであり、
特別な素材のためほとんど痛みや違和感なく治療ができるのが特徴です。

食事の喜びが変わらない治療
もちろん一日20時間以上着用していただきますが、お食事の時は外すことができます。
従来の矯正ではよくあった、食べられないものがないため、制限なく普段通りのお食事を楽しむことができます。
普段の生活をそのままに
インビザラインは着用時間を守っていただければ、行動の制限はございません。
スポーツやエンターテイメントを楽しみ頂くことができます。
また結婚式といった特別なイベントの場合は一時的に外していただくことができ、
タイミングを気にせず始められるのが大きな特徴です。
清潔で虫歯になりづらい治療
また矯正治療中は虫歯になりやすいと聞いたことがあるかもしれません。しかしインビザラインであれば、歯磨きの際も外すことができ、
加えて二週間~三週間に一回交換するため、清潔な状態でお過ごしいただくことが可能です。
加えて、歯並びの改善により治療後は歯磨きがしやすくなり、虫歯になりづらくなるメリットもあります。
治療後の歯列イメージを持ちながら治療を開始できます。
矯正治療では、治療期間が長くどんな歯列になるかわからないと不安に思われる方もいらっしゃいます。本院では「iTero」という専用のスキャナーを導入しております。
矯正治療開始前には、治療後どんなお口になっているか、「iTero」お口をスキャンして歯並びのイメージをお伝えすることができますので、
安心して治療を開始していただけます。

忙しいビジネスマンにぴったりなインビザライン
また矯正治療では月1回程度の定期的な通院が必要になります。インビザラインであれば、1~3カ月に一回程度の通院で済みますので、
お忙しいビジネスマンにもおすすめな矯正方法になっています。
アクシデントがない治療
ワイヤー矯正ではブラケットが外れてしまうなどのアクシデントで突発的な通院が必要になるケースがありました。インビザラインは、
紛失といったリスクはもちろんありますが、基本的にその心配がございません。
軽度矯正治療なら、なんと418,000円から!
軽度の矯正治療を行うインビザラインGoであればなんと41.8万円から綺麗な口元を手に入れることができます。マウスピース矯正の中でも、非常に多い症例を持ち、再現性の高い治療を受けることができます。
まずはご相談を!
どの価格でどの治療ができるか、お話させていただきます。
お気軽にご相談ください!
症例写真1
こちらはインビザラインGOによる、叢生の治療を半年間行った方の症例写真になります。
詳しくは症例はこちらよりご覧ください。


子どもの矯正のタイミング
出来れば永久歯が生える前にご相談いただけると、相談後、時間的に余裕をもって検討できるのでオススメです。
また、3~6歳の時期というのは乳歯列が完成し歯の本数が基本的に変化しない状態で過ごすため、お口の機能の成長が期待できる最初の大切なステージなのです。歯並びが気になったら、矯正をする・しないに関わらず、早い段階でご相談ください。お口の状況に合わせて矯正のタイミングをご提案させていただきます。
その他、ご家族や本人が気になった時は、相談のタイミングだと思っていただいて大丈夫です。
子どもの矯正のメリット
子どもの顎はまだ成長段階にあるので、成長の力を利用した矯正が可能です。顎を広げて歯のスペースを確保できることも多く、将来、矯正治療時に抜歯をしなくても済む可能性が高くなります。
歯並びが整うと、当然ながら歯磨きがしやすいので、むし歯や歯周病の予防につながります。
また、本人が歯並びを気にしている場合は、早いうちにコンプレックスがなくなることで、お子さまが笑顔で健全な生活を送れることは、お子さまの心と体の成長を考えるうえでは非常に大きなメリットです。
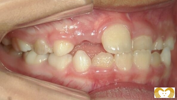
症例写真1
こちらはネオキャップシステムによる、上顎前突と叢生の治療を5年間やった方の症例です。
詳しくは「症例はこちら」よりご覧ください。






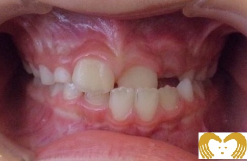
症例写真2
こちらはネオキャップシステムによる、叢生の治療を4年間した方の写真です。
詳しくは「症例はこちら」よりご覧ください。






症例写真3
こちらはネオキャップシステムによる、反対咬合の治療を3年間行った方の症例写真になります。
詳しくは症例はこちらよりご覧ください。


症例写真5
こちらはネオキャップシステムによる、交叉咬合の治療を5年間した方の写真です。
詳しくは「症例はこちら」よりご覧ください。






症例写真6
こちらはネオキャップシステムを用いて、叢生の治療を2年6か月行った患者様の症例写真になります。
詳しくは「症例はこちら」よりご覧ください。





















