インプラントとは
歯がない部分の骨に人工歯根を埋め込み、その上に人工の歯を装着する方法です。まわりの歯へ頼らずにかみ合わせの回復が可能なため、入れ歯やブリッジに比べ、残っている歯が負担過多になり徐々に失われていく心配は少なくなります。
しかし、手術が必要であることと、治療後も継続的なケアと維持の徹底が必要です。
インプラントはどのくらい長持ちするのか
インプラントの10~15 年の累積生存率は、上顎で約 90%、下顎で 94%ほどとなっています(部分欠損症例・全部欠損症例の場合)。
抜歯してすぐにインプラントを入れたり、骨移植も行ったりするケースでは、87~92%程度と言われています。総じて、約90%の方が10~15 年インプラントを継続して使っていると言えます。
もちろん歯科医師のスキルや、埋入部位などの口腔環境、その後のメンテナンスによって個人差はありますが、インプラントは適切な処置を行えば、比較的長い間使うことが可能です。
※参考 厚生労働省委託事業「歯科保健医療情報収集等事業」歯科インプラント治療のための Q&A
インプラント・入れ歯・ブリッジ、長持ちするのは?
残念ながら失ってしまった、ご自身の歯を補う治療方法としては一般的に3つの選択肢があります。それが、インプラント、ブリッジ、入れ歯です。それぞれに利点がありますが、大学の臨床研究データからインプラントの寿命が他の2つの治療法と比べると一番長いです。
また、入れ歯やブリッジの場合は、それ自体の寿命とは別に、入れ歯やブリッジを支える歯や歯ぐきの健康状態によっても大きく影響を受けます。失った歯を補うために、周囲の歯にサポートしてもらっているからです。
次のように考えるとブリッジや入れ歯をイメージしやすいと思います。
例えば、3人で道を歩いていて、1人がケガをしてしまい歩けなくなった時に、健康な2人が肩をかしてケガをした人をサポートしながら歩き続けるイメージです。その時は良いのですが、支えている2人もやがて疲れてしまいますよね。
一方、インプラントは失った歯を補うために周囲の歯のサポートを必要とせず、独立して噛みあわせを維持出来るため、抜けたままの状態に比べ周囲の歯の負担は軽減されます。結果、他の自分の歯が長持ちすることにつながります。
この事は、3つの治療法を検討選択する上でとても大切だと考えています。
| インプラント | 10〜15年くらい |
|---|---|
| ブリッジ | 6〜8年くらい |
| 入れ歯 | 3〜5年くらい |
当院のインプラント特徴
CT
正確なインプラント治療を行うために、治療の前には必ず歯科用CTで撮影し、神経の位置や骨の状態など、目に見えない部分に至るまでの状態を把握しています。
インプラントセンターで勤務した経験
院長はインプラントセンターでの勤務経験があり、あらゆるインプラントの症例やその後の変化をみてきました。
インプラントに関するトラブルへの対応はお任せください。しっかりした根拠に基づいたインプラント治療を行い、メンテナンスまで責任を持って臨みます。
アストラテック社のインプラントシステムを採用
当院では、スウェーデンのアストラテック社のインプラントシステムを主に採用しています。患者さまの状態やご希望などを考慮して、適切なインプラントシステムをご提案しています。
インプラントはメーカーによって素材や形状、構造が異なります。アストラテック社のインプラントには、骨との結合性が高い「純チタン」という素材が使われています。化学的に処理されたチタン表面が使われているため、通常3〜6ヶ月かかると言われている骨への結合が、わずか1ヶ月ちょっとで可能になります。
また、アストラテック社のインプラントはインプラント周囲の骨が減りにくい特徴があります。それにより長期安定してインプラント を使用が可能です。さらに、歯ぐきが瘦せて下がりにくい構造を持っているため、審美性が保たれるなど多くのメリットがあります。
インプラント治療後の
メンテナンスの重要性
インプラント治療後はきちんとメンテナンスをしていないとインプラントがやがてグラつき抜けてしまうこともあります。インプラント周囲炎にならないためにも、ご自身の歯の歯周病対策と同様、メインテナンスが重要です。
当院では、予防やクリーニングに関して専門知識と技術をもつ歯科衛生士が、インプラント後のメンテナンスを担当しています。
インプラントの難しい手術は
大学と提携しています
全身疾患や骨の量が少ないなど、当院でのインプラント手術が難しい場合にも提携先の病院と連携し治療しております。また、インプラント治療後のメンテナンスを当院で行うことも可能です。
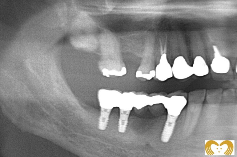
症例写真-1-
こちらは実際にインプラント治療を受けた方のビフォーアフター画像になります。
こちらの症例について詳しく知りたい方は下の「症例はこちら」よりご覧ください。















