<?xml version="1.0" encoding="UTF-8"?><rss version="2.0"
	xmlns:content="http://purl.org/rss/1.0/modules/content/"
	xmlns:wfw="http://wellformedweb.org/CommentAPI/"
	xmlns:dc="http://purl.org/dc/elements/1.1/"
	xmlns:atom="http://www.w3.org/2005/Atom"
	xmlns:sy="http://purl.org/rss/1.0/modules/syndication/"
	xmlns:slash="http://purl.org/rss/1.0/modules/slash/"
	>

<channel>
	<title>すべての症例 &#8211; 坂井おとなこども歯科</title>
	<atom:link href="https://www.sakaiclinic.or.jp/case-blog/feed/" rel="self" type="application/rss+xml" />
	<link>https://www.sakaiclinic.or.jp</link>
	<description></description>
	<lastBuildDate>Fri, 07 Mar 2025 03:10:59 +0000</lastBuildDate>
	<language>ja</language>
	<sy:updatePeriod>
	hourly	</sy:updatePeriod>
	<sy:updateFrequency>
	1	</sy:updateFrequency>
	<generator>https://wordpress.org/?v=5.5.18</generator>

<image>
	<url>https://www.sakaiclinic.or.jp/wp-content/uploads/cropped-favicon-32x32.png</url>
	<title>すべての症例 &#8211; 坂井おとなこども歯科</title>
	<link>https://www.sakaiclinic.or.jp</link>
	<width>32</width>
	<height>32</height>
</image> 
	<item>
		<title>【症例紹介】義歯-4-</title>
		<link>https://www.sakaiclinic.or.jp/news/4661/</link>
					<comments>https://www.sakaiclinic.or.jp/news/4661/#respond</comments>
		
		<dc:creator><![CDATA[sakai]]></dc:creator>
		<pubDate>Fri, 07 Mar 2025 03:00:55 +0000</pubDate>
				<category><![CDATA[すべての症例]]></category>
		<category><![CDATA[入れ歯]]></category>
		<category><![CDATA[新着情報]]></category>
		<guid isPermaLink="false">https://www.sakaiclinic.or.jp/news/4661/</guid>

					<description><![CDATA[<p>Before After 年齢 40代 性別 男性 治療内容 部分床義歯（メタルプレート） 治療回数 (期間) 約2ヵ月間 治療費 275,000円（税込） リスク 長期間使用すると歯がすり減ってしまうことがあります。  [&#8230;]</p>
<p>The post <a href="https://www.sakaiclinic.or.jp/news/4661/" target="_blank">【症例紹介】義歯-4-</a> first appeared on <a href="https://www.sakaiclinic.or.jp/" target="_blank">坂井おとなこども歯科</a>.</p>]]></description>
										<content:encoded><![CDATA[<section>
<div class="container gutters">
<div class="row bf-af col2">
<div class="before">
<figure><figcaption>Before</figcaption><p><span><img loading="lazy" src="https://www.sakaiclinic.or.jp/wp-content/uploads/a53bf6ab4aa0d2ed9663a6e3298d044e.jpg" alt="" class="alignnone wp-image-4662 size-full" width="1060" height="530" srcset="https://www.sakaiclinic.or.jp/wp-content/uploads/a53bf6ab4aa0d2ed9663a6e3298d044e.jpg 1060w, https://www.sakaiclinic.or.jp/wp-content/uploads/a53bf6ab4aa0d2ed9663a6e3298d044e-770x385.jpg 770w, https://www.sakaiclinic.or.jp/wp-content/uploads/a53bf6ab4aa0d2ed9663a6e3298d044e-1000x500.jpg 1000w, https://www.sakaiclinic.or.jp/wp-content/uploads/a53bf6ab4aa0d2ed9663a6e3298d044e-768x384.jpg 768w" sizes="(max-width: 1060px) 100vw, 1060px" /></span></p>
</figure>
</div>
<div class="after">
<figure><figcaption>After</figcaption><p><img loading="lazy" src="https://www.sakaiclinic.or.jp/wp-content/uploads/dc34d9789e1e65ca860a98184f6ed0da.jpg" alt="" class="alignnone wp-image-4663 size-full" width="1060" height="530" srcset="https://www.sakaiclinic.or.jp/wp-content/uploads/dc34d9789e1e65ca860a98184f6ed0da.jpg 1060w, https://www.sakaiclinic.or.jp/wp-content/uploads/dc34d9789e1e65ca860a98184f6ed0da-770x385.jpg 770w, https://www.sakaiclinic.or.jp/wp-content/uploads/dc34d9789e1e65ca860a98184f6ed0da-1000x500.jpg 1000w, https://www.sakaiclinic.or.jp/wp-content/uploads/dc34d9789e1e65ca860a98184f6ed0da-768x384.jpg 768w" sizes="(max-width: 1060px) 100vw, 1060px" /></p>
</figure>
</div>
</div>
</div>
</section>
<table class="table01">
<tbody>
<tr>
<th style="text-align: center;"><strong>年齢</strong></th>
<td>40代</td>
</tr>
<tr>
<th style="text-align: center;"><strong>性別</strong></th>
<td>男性</td>
</tr>
<tr>
<th style="text-align: center;"><strong>治療内容</strong></th>
<td>
<p><span>部分床義歯（メタルプレート）</span></p>
</td>
</tr>
<tr>
<th style="text-align: center;">
<p><strong>治療回数</strong></p>
<p><strong>(期間)</strong></p>
</th>
<td>約2ヵ月間</td>
</tr>
<tr>
<th style="text-align: center;"><strong>治療費</strong></th>
<td>275,000円（税込）</td>
</tr>
<tr>
<th style="text-align: center;"><strong>リスク</strong></th>
<td>
<p>長期間使用すると歯がすり減ってしまうことがあります。<br />
体重の変化により、ゆるくなることがあります。</p>
<p>メタルプレートはバネが見えてしまいますが、食事の温度を感じやすく、安定感・耐久性が高いです。</p>
</td>
</tr>
</tbody>
</table><p>The post <a href="https://www.sakaiclinic.or.jp/news/4661/" target="_blank">【症例紹介】義歯-4-</a> first appeared on <a href="https://www.sakaiclinic.or.jp/" target="_blank">坂井おとなこども歯科</a>.</p>]]></content:encoded>
					
					<wfw:commentRss>https://www.sakaiclinic.or.jp/news/4661/feed/</wfw:commentRss>
			<slash:comments>0</slash:comments>
		
		
			</item>
		<item>
		<title>【症例紹介】ホームホワイトニング＋セラミッククラウン-２-</title>
		<link>https://www.sakaiclinic.or.jp/news/4666/</link>
					<comments>https://www.sakaiclinic.or.jp/news/4666/#respond</comments>
		
		<dc:creator><![CDATA[sakai]]></dc:creator>
		<pubDate>Fri, 07 Mar 2025 03:00:13 +0000</pubDate>
				<category><![CDATA[すべての症例]]></category>
		<category><![CDATA[ホワイトニング]]></category>
		<category><![CDATA[新着情報]]></category>
		<category><![CDATA[詰め物・被せ物]]></category>
		<guid isPermaLink="false">https://www.sakaiclinic.or.jp/news/4666/</guid>

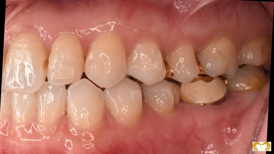
					<description><![CDATA[<p>Before After 年齢 50代 性別 女性 治療内容 ・オフィスホワイトニング ・ジルコボンドクラウン 治療回数（期間） ・オフィスホワイト二ング　1週間おきに３回 ・ジルコボンドクラウン　約1ヵ月 治療費 ・ホ [&#8230;]</p>
<p>The post <a href="https://www.sakaiclinic.or.jp/news/4666/" target="_blank">【症例紹介】ホームホワイトニング＋セラミッククラウン-２-</a> first appeared on <a href="https://www.sakaiclinic.or.jp/" target="_blank">坂井おとなこども歯科</a>.</p>]]></description>
										<content:encoded><![CDATA[<section>
<div class="container gutters">
<div class="row bf-af col2">
<div class="before">
<figure><figcaption>Before</figcaption><p><span><img loading="lazy" src="https://www.sakaiclinic.or.jp/wp-content/uploads/c302a675c41a44677319bacfcdf98759.jpg" alt="" class="alignnone wp-image-4668 size-full" width="1060" height="596" srcset="https://www.sakaiclinic.or.jp/wp-content/uploads/c302a675c41a44677319bacfcdf98759.jpg 1060w, https://www.sakaiclinic.or.jp/wp-content/uploads/c302a675c41a44677319bacfcdf98759-770x433.jpg 770w, https://www.sakaiclinic.or.jp/wp-content/uploads/c302a675c41a44677319bacfcdf98759-1000x562.jpg 1000w, https://www.sakaiclinic.or.jp/wp-content/uploads/c302a675c41a44677319bacfcdf98759-768x432.jpg 768w" sizes="(max-width: 1060px) 100vw, 1060px" /></span></p>
</figure>
</div>
<div class="after">
<figure><figcaption>After</figcaption><p><img loading="lazy" src="https://www.sakaiclinic.or.jp/wp-content/uploads/091ca210afd9dbb1be4d51a7bb40ea0a.jpg" alt="" class="alignnone wp-image-4667 size-full" width="1060" height="596" srcset="https://www.sakaiclinic.or.jp/wp-content/uploads/091ca210afd9dbb1be4d51a7bb40ea0a.jpg 1060w, https://www.sakaiclinic.or.jp/wp-content/uploads/091ca210afd9dbb1be4d51a7bb40ea0a-770x433.jpg 770w, https://www.sakaiclinic.or.jp/wp-content/uploads/091ca210afd9dbb1be4d51a7bb40ea0a-1000x562.jpg 1000w, https://www.sakaiclinic.or.jp/wp-content/uploads/091ca210afd9dbb1be4d51a7bb40ea0a-768x432.jpg 768w" sizes="(max-width: 1060px) 100vw, 1060px" /></p>
</figure>
</div>
</div>
</div>
</section>
<table class="table01">
<tbody>
<tr>
<th style="text-align: center;"><strong>年齢</strong></th>
<td>50代</td>
</tr>
<tr>
<th style="text-align: center;"><strong>性別</strong></th>
<td>女性</td>
</tr>
<tr>
<th style="text-align: center;"><strong>治療内容</strong></th>
<td>
<p>・オフィスホワイトニング<br />
・ジルコボンドクラウン</p>
</td>
</tr>
<tr>
<th style="text-align: center;"><strong>治療回数（期間）</strong></th>
<td>・オフィスホワイト二ング　1週間おきに３回<br />
・ジルコボンドクラウン　約1ヵ月</td>
</tr>
<tr>
<th style="text-align: center;"><strong>治療費</strong></th>
<td>・ホワイトニング　42<span>,500</span>円（税込）<br />
・ジルコボンドクラウン　132,000円（税込）×3</td>
</tr>
<tr>
<th style="text-align: center;"><strong>リスク</strong></th>
<td>ホワイトニング：人によって、知覚過敏の症状が出ることがあります。<br />
ジルコボンドクラウン：咬み合わせが悪い方や歯ぎしりの強い方は破折する可能性があります。神経のある歯を削る場合は神経へダメージを与える可能性があるので、低年齢の方は特に注意が必要です。</td>
</tr>
</tbody>
</table><p>The post <a href="https://www.sakaiclinic.or.jp/news/4666/" target="_blank">【症例紹介】ホームホワイトニング＋セラミッククラウン-２-</a> first appeared on <a href="https://www.sakaiclinic.or.jp/" target="_blank">坂井おとなこども歯科</a>.</p>]]></content:encoded>
					
					<wfw:commentRss>https://www.sakaiclinic.or.jp/news/4666/feed/</wfw:commentRss>
			<slash:comments>0</slash:comments>
		
		
			</item>
		<item>
		<title>【症例紹介】義歯－3－</title>
		<link>https://www.sakaiclinic.or.jp/news/4290/</link>
					<comments>https://www.sakaiclinic.or.jp/news/4290/#respond</comments>
		
		<dc:creator><![CDATA[sakai]]></dc:creator>
		<pubDate>Tue, 04 Jun 2024 04:31:10 +0000</pubDate>
				<category><![CDATA[すべての症例]]></category>
		<category><![CDATA[入れ歯]]></category>
		<category><![CDATA[新着情報]]></category>
		<guid isPermaLink="false">https://www.sakaiclinic.or.jp/news/4290/</guid>

					<description><![CDATA[<p>Before After After After &#160; 年齢 （治療当時） 65歳 性別 女性 治療内容 上下の総義歯（ノンメタル） ・虫歯や歯周病で残すのが難しかった歯は抜歯をして、自然な見た目の入れ歯を作りま [&#8230;]</p>
<p>The post <a href="https://www.sakaiclinic.or.jp/news/4290/" target="_blank">【症例紹介】義歯－3－</a> first appeared on <a href="https://www.sakaiclinic.or.jp/" target="_blank">坂井おとなこども歯科</a>.</p>]]></description>
										<content:encoded><![CDATA[<section>
<div class="container gutters">
<div class="row bf-af col2">
<div class="before">
<figure><figcaption>Before</figcaption><p><span><img loading="lazy" src="https://www.sakaiclinic.or.jp/wp-content/uploads/5839b2591b4a6d56f666b29d0b0e1f08-1-770x433.jpg" alt="" class="alignnone wp-image-4296 size-medium" width="770" height="433" srcset="https://www.sakaiclinic.or.jp/wp-content/uploads/5839b2591b4a6d56f666b29d0b0e1f08-1-770x433.jpg 770w, https://www.sakaiclinic.or.jp/wp-content/uploads/5839b2591b4a6d56f666b29d0b0e1f08-1-1000x562.jpg 1000w, https://www.sakaiclinic.or.jp/wp-content/uploads/5839b2591b4a6d56f666b29d0b0e1f08-1-768x432.jpg 768w, https://www.sakaiclinic.or.jp/wp-content/uploads/5839b2591b4a6d56f666b29d0b0e1f08-1.jpg 1060w" sizes="(max-width: 770px) 100vw, 770px" /></span></p>
</figure>
</div>
<div class="after">
<figure><figcaption>After</figcaption><p><img loading="lazy" src="https://www.sakaiclinic.or.jp/wp-content/uploads/92815f6e1b883f569e5179dd9af885ae-1-770x433.jpg" alt="" class="alignnone wp-image-4299 size-medium" width="770" height="433" srcset="https://www.sakaiclinic.or.jp/wp-content/uploads/92815f6e1b883f569e5179dd9af885ae-1-770x433.jpg 770w, https://www.sakaiclinic.or.jp/wp-content/uploads/92815f6e1b883f569e5179dd9af885ae-1-1000x562.jpg 1000w, https://www.sakaiclinic.or.jp/wp-content/uploads/92815f6e1b883f569e5179dd9af885ae-1-768x432.jpg 768w, https://www.sakaiclinic.or.jp/wp-content/uploads/92815f6e1b883f569e5179dd9af885ae-1.jpg 1060w" sizes="(max-width: 770px) 100vw, 770px" /></p>
</figure>
</div>
</div>
</div>
</section>
<section>
<div class="container gutters">
<div class="row bf-af col2">
<div class="before">
<figure>
<p><span></span></p>
</figure>
</div>
<div class="after">
<figure><figcaption>After</figcaption><p><img loading="lazy" src="https://www.sakaiclinic.or.jp/wp-content/uploads/756d1846a7433ec91ace1aa7384d6d6c-1-770x433.jpg" alt="" class="alignnone wp-image-4297 size-medium" width="770" height="433" srcset="https://www.sakaiclinic.or.jp/wp-content/uploads/756d1846a7433ec91ace1aa7384d6d6c-1-770x433.jpg 770w, https://www.sakaiclinic.or.jp/wp-content/uploads/756d1846a7433ec91ace1aa7384d6d6c-1-1000x562.jpg 1000w, https://www.sakaiclinic.or.jp/wp-content/uploads/756d1846a7433ec91ace1aa7384d6d6c-1-768x432.jpg 768w, https://www.sakaiclinic.or.jp/wp-content/uploads/756d1846a7433ec91ace1aa7384d6d6c-1.jpg 1060w" sizes="(max-width: 770px) 100vw, 770px" /></p>
</figure>
</div>
</div>
</div>
</section>
<section>
<div class="container gutters">
<div class="row bf-af col2">
<div class="before">
<figure>
<p><span></span></p>
</figure>
</div>
<div class="after">
<figure><figcaption>After</figcaption><p><img loading="lazy" src="https://www.sakaiclinic.or.jp/wp-content/uploads/1b12f733c3bcb316b89695204f3ed1f2-1-770x433.jpg" alt="" class="alignnone wp-image-4298 size-medium" width="770" height="433" srcset="https://www.sakaiclinic.or.jp/wp-content/uploads/1b12f733c3bcb316b89695204f3ed1f2-1-770x433.jpg 770w, https://www.sakaiclinic.or.jp/wp-content/uploads/1b12f733c3bcb316b89695204f3ed1f2-1-1000x562.jpg 1000w, https://www.sakaiclinic.or.jp/wp-content/uploads/1b12f733c3bcb316b89695204f3ed1f2-1-768x432.jpg 768w, https://www.sakaiclinic.or.jp/wp-content/uploads/1b12f733c3bcb316b89695204f3ed1f2-1.jpg 1060w" sizes="(max-width: 770px) 100vw, 770px" /></p>
</figure>
<p>&nbsp;</p>
</div>
</div>
</div>
</section>
<table class="table01">
<tbody>
<tr>
<th style="text-align: center;"><strong>年齢<br />
（治療当時）</strong></th>
<td>65歳</td>
</tr>
<tr>
<th style="text-align: center;"><strong>性別</strong></th>
<td>女性</td>
</tr>
<tr>
<th style="text-align: center;"><strong>治療内容</strong></th>
<td>
<p>上下の総義歯（ノンメタル）<br />
・虫歯や歯周病で残すのが難しかった歯は抜歯をして、自然な見た目の入れ歯を作りました。<br />
下の入れ歯にはマグネットを利用し、自分の歯2本を活用しています。10年経った今もメンテナンスをかかさず、お食事を楽しんでいらっしゃいます。</p>
</td>
</tr>
<tr>
<th style="text-align: center;"><strong>治療回数<br />
(期間)</strong></th>
<td>約3か月</td>
</tr>
<tr>
<th style="text-align: center;"><strong>治療費</strong></th>
<td>片顎 242,000円（税込）～</td>
</tr>
<tr>
<th style="text-align: center;"><strong>リスク</strong></th>
<td>
<p>
・長期間使用すると、歯がすり減ってしまうことがあります。<br />
・体重の変化により、ゆるくなることがあります。</p>
</td>
</tr>
</tbody>
</table><p>The post <a href="https://www.sakaiclinic.or.jp/news/4290/" target="_blank">【症例紹介】義歯－3－</a> first appeared on <a href="https://www.sakaiclinic.or.jp/" target="_blank">坂井おとなこども歯科</a>.</p>]]></content:encoded>
					
					<wfw:commentRss>https://www.sakaiclinic.or.jp/news/4290/feed/</wfw:commentRss>
			<slash:comments>0</slash:comments>
		
		
			</item>
		<item>
		<title>【症例紹介】小児矯正-8-（ネオキャップシステム）〈叢生〉</title>
		<link>https://www.sakaiclinic.or.jp/news/3868/</link>
					<comments>https://www.sakaiclinic.or.jp/news/3868/#respond</comments>
		
		<dc:creator><![CDATA[sakai]]></dc:creator>
		<pubDate>Tue, 09 Jan 2024 07:17:57 +0000</pubDate>
				<category><![CDATA[すべての症例]]></category>
		<category><![CDATA[小児矯正]]></category>
		<category><![CDATA[新着情報]]></category>
		<guid isPermaLink="false">https://www.sakaiclinic.or.jp/news/3868/</guid>

					<description><![CDATA[<p>Before After 年齢 8～11歳 性別 女の子 治療内容 ネオキャップシステムによる、叢生の治療。 治療回数 (期間) 約3年間 治療費 495,000円（税込） リスク 取り外し可能な装置の為、治療の効果が使 [&#8230;]</p>
<p>The post <a href="https://www.sakaiclinic.or.jp/news/3868/" target="_blank">【症例紹介】小児矯正-8-（ネオキャップシステム）〈叢生〉</a> first appeared on <a href="https://www.sakaiclinic.or.jp/" target="_blank">坂井おとなこども歯科</a>.</p>]]></description>
										<content:encoded><![CDATA[<section>
<div class="container gutters">
<div class="row bf-af col2">
<div class="before">
<figure><figcaption>Before</figcaption><p><span><img loading="lazy" src="https://www.sakaiclinic.or.jp/wp-content/uploads/78551ae8ac968b3a950cb2095dc67642.jpg" alt="" class="alignnone wp-image-3870 size-full" width="1012" height="506" srcset="https://www.sakaiclinic.or.jp/wp-content/uploads/78551ae8ac968b3a950cb2095dc67642.jpg 1012w, https://www.sakaiclinic.or.jp/wp-content/uploads/78551ae8ac968b3a950cb2095dc67642-770x385.jpg 770w, https://www.sakaiclinic.or.jp/wp-content/uploads/78551ae8ac968b3a950cb2095dc67642-1000x500.jpg 1000w, https://www.sakaiclinic.or.jp/wp-content/uploads/78551ae8ac968b3a950cb2095dc67642-768x384.jpg 768w" sizes="(max-width: 1012px) 100vw, 1012px" /></span></p>
</figure>
</div>
<div class="after">
<figure><figcaption>After</figcaption><p><img loading="lazy" src="https://www.sakaiclinic.or.jp/wp-content/uploads/5e635f4c13b151d26fa64f716548ad99.jpg" alt="" class="alignnone wp-image-3869 size-full" width="1060" height="530" srcset="https://www.sakaiclinic.or.jp/wp-content/uploads/5e635f4c13b151d26fa64f716548ad99.jpg 1060w, https://www.sakaiclinic.or.jp/wp-content/uploads/5e635f4c13b151d26fa64f716548ad99-770x385.jpg 770w, https://www.sakaiclinic.or.jp/wp-content/uploads/5e635f4c13b151d26fa64f716548ad99-1000x500.jpg 1000w, https://www.sakaiclinic.or.jp/wp-content/uploads/5e635f4c13b151d26fa64f716548ad99-768x384.jpg 768w" sizes="(max-width: 1060px) 100vw, 1060px" /></p>
</figure>
</div>
</div>
</div>
</section>
<table class="table01">
<tbody>
<tr>
<th style="text-align: center;"><strong>年齢</strong></th>
<td>8～11歳</td>
</tr>
<tr>
<th style="text-align: center;"><strong>性別</strong></th>
<td>女の子</td>
</tr>
<tr>
<th style="text-align: center;"><strong>治療内容</strong></th>
<td>
<p>ネオキャップシステムによる、叢生の治療。</p>
</td>
</tr>
<tr>
<th style="text-align: center;">
<p><strong>治療回数</strong></p>
<p><strong>(期間)</strong></p>
</th>
<td>約3年間</td>
</tr>
<tr>
<th style="text-align: center;"><strong>治療費</strong></th>
<td>495,000円（税込）</td>
</tr>
<tr>
<th style="text-align: center;"><strong>リスク</strong></th>
<td>取り外し可能な装置の為、治療の効果が使用頻度に左右されます。</td>
</tr>
</tbody>
</table><p>The post <a href="https://www.sakaiclinic.or.jp/news/3868/" target="_blank">【症例紹介】小児矯正-8-（ネオキャップシステム）〈叢生〉</a> first appeared on <a href="https://www.sakaiclinic.or.jp/" target="_blank">坂井おとなこども歯科</a>.</p>]]></content:encoded>
					
					<wfw:commentRss>https://www.sakaiclinic.or.jp/news/3868/feed/</wfw:commentRss>
			<slash:comments>0</slash:comments>
		
		
			</item>
		<item>
		<title>【症例紹介】　義歯-２-</title>
		<link>https://www.sakaiclinic.or.jp/news/3541/</link>
					<comments>https://www.sakaiclinic.or.jp/news/3541/#respond</comments>
		
		<dc:creator><![CDATA[sakai]]></dc:creator>
		<pubDate>Fri, 13 Oct 2023 06:49:07 +0000</pubDate>
				<category><![CDATA[すべての症例]]></category>
		<category><![CDATA[入れ歯]]></category>
		<category><![CDATA[新着情報]]></category>
		<guid isPermaLink="false">https://www.sakaiclinic.or.jp/news/3541/</guid>

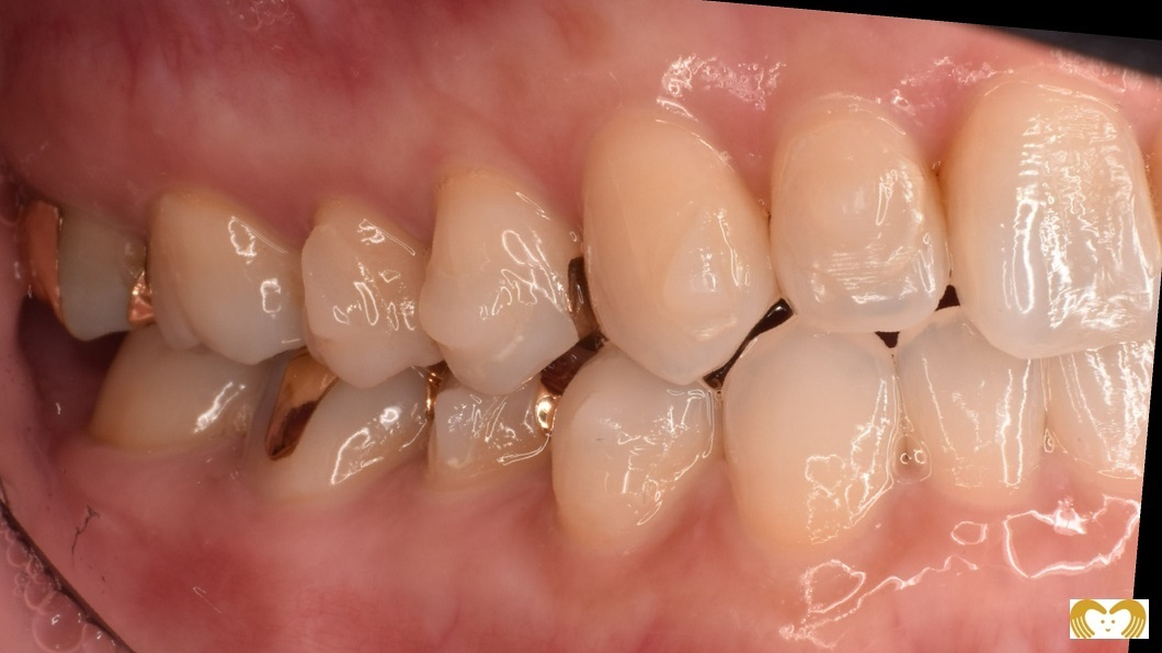
					<description><![CDATA[<p>▶ ▶ 　 ▶ ▶ 治療時年齢 62歳 性別 男性 治療内容 部分床義歯（メタルプレートとノンメタルの両方を使い分けている方です） 治療回数 （期間） 各2ヶ月程度 治療費 メタルプレート：￥209,000～￥308,0 [&#8230;]</p>
<p>The post <a href="https://www.sakaiclinic.or.jp/news/3541/" target="_blank">【症例紹介】　義歯-２-</a> first appeared on <a href="https://www.sakaiclinic.or.jp/" target="_blank">坂井おとなこども歯科</a>.</p>]]></description>
										<content:encoded><![CDATA[<section>
<div class="photo-container"><img loading="lazy" width="1060" height="707" src="https://www.sakaiclinic.or.jp/wp-content/uploads/5632_5377600c2.jpg" alt="" class="aligncenter wp-image-3575 size-full" srcset="https://www.sakaiclinic.or.jp/wp-content/uploads/5632_5377600c2.jpg 1060w, https://www.sakaiclinic.or.jp/wp-content/uploads/5632_5377600c2-770x514.jpg 770w, https://www.sakaiclinic.or.jp/wp-content/uploads/5632_5377600c2-1000x667.jpg 1000w, https://www.sakaiclinic.or.jp/wp-content/uploads/5632_5377600c2-768x512.jpg 768w" sizes="(max-width: 1060px) 100vw, 1060px" /> <span class="arrow">▶</span> <img src="https://www.sakaiclinic.or.jp/wp-content/uploads/5632_4256600c2.jpg" alt="" class="aligncenter wp-image-3575 size-full" /> <span class="arrow">▶</span> <img src="https://www.sakaiclinic.or.jp/wp-content/uploads/5632_4259600c2.jpg" alt="" class="aligncenter wp-image-3575 size-full" />
</div>
</section>
<p>　</p>
<section>
<div class="photo-container"><img src="https://www.sakaiclinic.or.jp/wp-content/uploads/5632_5384600c2.jpg" alt="" class="aligncenter wp-image-3575 size-full" /> <span class="arrow">▶</span> <img src="https://www.sakaiclinic.or.jp/wp-content/uploads/5632_4257600c2.jpg" alt="" class="aligncenter wp-image-3575 size-full" /> <span class="arrow">▶</span> <img src="https://www.sakaiclinic.or.jp/wp-content/uploads/5632_4260600c2.jpg" alt="" class="aligncenter wp-image-3575 size-full" />
</div>
</section>
<table class="table01">
<tbody>
<tr>
<th style="text-align: center;"><strong>治療時年齢</strong></th>
<td>62歳</td>
</tr>
<tr>
<th style="text-align: center;"><strong>性別</strong></th>
<td>男性</td>
</tr>
<tr>
<th style="text-align: center;"><strong>治療内容</strong></th>
<td>部分床義歯（メタルプレートとノンメタルの両方を使い分けている方です）</td>
</tr>
<tr>
<th style="text-align: center;"><strong>治療回数<br />
（期間）</strong></th>
<td>
<p>各2ヶ月程度</p>
</td>
</tr>
<tr>
<th style="text-align: center;"><strong>治療費</strong></th>
<td>
<p>メタルプレート：￥209,000～￥308,000（税込）<br />
ノンメタル：￥176,000～￥275,000（税込）</p>
</td>
</tr>
<tr>
<th style="text-align: center;"><strong>リスク</strong></th>
<td>
<p>長期間使用すると歯がすり減ってしまうことがあります。<br />
体重の変化により、ゆるくなることがあります。</p>
<p>メタルプレートはバネが見えてしまいますが、食事の温度を感じやすく、安定感・耐久性が高いです。<br />
ノンメタルは、メタルプレートに比べ、耐久性は低くなりますが、見た目が自然です。<br />
この患者様は仕事及び外出時と食事時で、両方を使い分けていらっしゃいます。</p>
</td>
</tr>
</tbody>
</table><p>The post <a href="https://www.sakaiclinic.or.jp/news/3541/" target="_blank">【症例紹介】　義歯-２-</a> first appeared on <a href="https://www.sakaiclinic.or.jp/" target="_blank">坂井おとなこども歯科</a>.</p>]]></content:encoded>
					
					<wfw:commentRss>https://www.sakaiclinic.or.jp/news/3541/feed/</wfw:commentRss>
			<slash:comments>0</slash:comments>
		
		
			</item>
		<item>
		<title>【症例紹介】インプラント治療- 5 -　インプラントメインテナンス</title>
		<link>https://www.sakaiclinic.or.jp/news/3402/</link>
					<comments>https://www.sakaiclinic.or.jp/news/3402/#respond</comments>
		
		<dc:creator><![CDATA[sakai]]></dc:creator>
		<pubDate>Tue, 05 Sep 2023 06:53:33 +0000</pubDate>
				<category><![CDATA[インプラント]]></category>
		<category><![CDATA[すべての症例]]></category>
		<category><![CDATA[新着情報]]></category>
		<guid isPermaLink="false">https://www.sakaiclinic.or.jp/news/3402/</guid>

					<description><![CDATA[<p>Before After Before After 治療時の年齢 70歳 性別 男性 治療内容 インプラントメインテンス 初診来院時、インプラントの定期的なメインテナンスを行っておらず、また、食べ物などの汚れがつまってい [&#8230;]</p>
<p>The post <a href="https://www.sakaiclinic.or.jp/news/3402/" target="_blank">【症例紹介】インプラント治療- 5 -　インプラントメインテナンス</a> first appeared on <a href="https://www.sakaiclinic.or.jp/" target="_blank">坂井おとなこども歯科</a>.</p>]]></description>
										<content:encoded><![CDATA[<section>
<div class="container gutters">
<div class="row bf-af col2">
<div class="before">
<figure><figcaption>Before</figcaption><p><span><img loading="lazy" src="https://www.sakaiclinic.or.jp/wp-content/uploads/063e84e2804987c0ca58d584993e05ec-2.jpg" alt="" class="alignnone wp-image-3390 " width="465" height="349" /></span></p>
</figure>
</div>
<div class="after">
<figure><figcaption>After</figcaption><p><img loading="lazy" src="https://www.sakaiclinic.or.jp/wp-content/uploads/222a24d9509f48e798598304aad0672c-1.jpg" alt="" class="alignnone wp-image-3365 " width="454" height="340" /></p>
</figure>
</div>
</div>
</div>
</section>
<section>
<div class="container gutters">
<div class="row bf-af col2">
<div class="before">
<figure><figcaption>Before</figcaption><p><span><img loading="lazy" src="https://www.sakaiclinic.or.jp/wp-content/uploads/20a8b7bdbeee79aba96dd5ab8373f437-1.jpg" alt="" class="alignnone wp-image-3358 size-full" width="796" height="615" srcset="https://www.sakaiclinic.or.jp/wp-content/uploads/20a8b7bdbeee79aba96dd5ab8373f437-1.jpg 796w, https://www.sakaiclinic.or.jp/wp-content/uploads/20a8b7bdbeee79aba96dd5ab8373f437-1-770x595.jpg 770w, https://www.sakaiclinic.or.jp/wp-content/uploads/20a8b7bdbeee79aba96dd5ab8373f437-1-768x593.jpg 768w" sizes="(max-width: 796px) 100vw, 796px" /></span></p>
</figure>
</div>
<div class="after">
<figure><figcaption>After</figcaption><p><img loading="lazy" src="https://www.sakaiclinic.or.jp/wp-content/uploads/a3cf2fa67a4ae336c672e7cf163ee256-1.jpg" alt="" class="alignnone wp-image-3361 size-full" width="802" height="615" srcset="https://www.sakaiclinic.or.jp/wp-content/uploads/a3cf2fa67a4ae336c672e7cf163ee256-1.jpg 802w, https://www.sakaiclinic.or.jp/wp-content/uploads/a3cf2fa67a4ae336c672e7cf163ee256-1-770x590.jpg 770w, https://www.sakaiclinic.or.jp/wp-content/uploads/a3cf2fa67a4ae336c672e7cf163ee256-1-768x589.jpg 768w" sizes="(max-width: 802px) 100vw, 802px" /></p>
</figure>
</div>
</div>
</div>
</section>
<table class="table01">
<tbody>
<tr>
<th style="text-align: center;"><strong>治療時の年齢</strong></th>
<td>
<p>70歳</p>
</td>
</tr>
<tr>
<th style="text-align: center;"><strong>性別</strong></th>
<td>男性</td>
</tr>
<tr>
<th style="text-align: center;"><strong>治療内容</strong></th>
<td>
<p>インプラントメインテンス</p>
<p>初診来院時、インプラントの定期的なメインテナンスを行っておらず、また、食べ物などの汚れがつまっていることで、インプラントの周囲の歯茎に炎症を起こしていましたが、治療やメインテナンスを続けることで、炎症が落ち着き、快適に過ごされています。</p>
</td>
</tr>
<tr>
<th style="text-align: center;"><strong>治療回数<br />
(期間)</strong></th>
<td>１年に１回程度</td>
</tr>
<tr>
<th style="text-align: center;"><strong>治療費</strong></th>
<td>１本につき、￥5,500（税込）～</td>
</tr>
<tr>
<th style="text-align: center;"><strong>リスク</strong></th>
<td>インプラント歯周炎、メインテナンスが必要</td>
</tr>
</tbody>
</table><p>The post <a href="https://www.sakaiclinic.or.jp/news/3402/" target="_blank">【症例紹介】インプラント治療- 5 -　インプラントメインテナンス</a> first appeared on <a href="https://www.sakaiclinic.or.jp/" target="_blank">坂井おとなこども歯科</a>.</p>]]></content:encoded>
					
					<wfw:commentRss>https://www.sakaiclinic.or.jp/news/3402/feed/</wfw:commentRss>
			<slash:comments>0</slash:comments>
		
		
			</item>
		<item>
		<title>【症例紹介】インプラント治療-４</title>
		<link>https://www.sakaiclinic.or.jp/news/3341/</link>
					<comments>https://www.sakaiclinic.or.jp/news/3341/#respond</comments>
		
		<dc:creator><![CDATA[sakai]]></dc:creator>
		<pubDate>Mon, 04 Sep 2023 02:01:59 +0000</pubDate>
				<category><![CDATA[インプラント]]></category>
		<category><![CDATA[すべての症例]]></category>
		<category><![CDATA[新着情報]]></category>
		<guid isPermaLink="false">https://www.sakaiclinic.or.jp/news/3341/</guid>

					<description><![CDATA[<p>Before After 年齢 77才 性別 女性 治療内容 インプラント治療 元々２つ（上と下）の入れ歯を使用していましたが、下の奥歯にインプラントを入れ、入れ歯も１つ（上のみ）になり、快適に過ごされています。 治療回 [&#8230;]</p>
<p>The post <a href="https://www.sakaiclinic.or.jp/news/3341/" target="_blank">【症例紹介】インプラント治療-４</a> first appeared on <a href="https://www.sakaiclinic.or.jp/" target="_blank">坂井おとなこども歯科</a>.</p>]]></description>
										<content:encoded><![CDATA[<section>
<div class="container gutters">
<div class="row bf-af col2">
<div class="before">
<figure><figcaption>Before</figcaption><p><span><img loading="lazy" src="https://www.sakaiclinic.or.jp/wp-content/uploads/f4c4ee8e251732f335ae0baff5431c64-scaled.jpg" alt="" class="alignnone wp-image-3345 size-full" width="2560" height="1103" srcset="https://www.sakaiclinic.or.jp/wp-content/uploads/f4c4ee8e251732f335ae0baff5431c64-scaled.jpg 2560w, https://www.sakaiclinic.or.jp/wp-content/uploads/f4c4ee8e251732f335ae0baff5431c64-770x332.jpg 770w, https://www.sakaiclinic.or.jp/wp-content/uploads/f4c4ee8e251732f335ae0baff5431c64-1000x431.jpg 1000w, https://www.sakaiclinic.or.jp/wp-content/uploads/f4c4ee8e251732f335ae0baff5431c64-768x331.jpg 768w, https://www.sakaiclinic.or.jp/wp-content/uploads/f4c4ee8e251732f335ae0baff5431c64-1536x662.jpg 1536w, https://www.sakaiclinic.or.jp/wp-content/uploads/f4c4ee8e251732f335ae0baff5431c64-2048x882.jpg 2048w" sizes="(max-width: 2560px) 100vw, 2560px" /></span></p>
</figure>
</div>
<div class="after">
<figure><figcaption>After</figcaption><p><img loading="lazy" src="https://www.sakaiclinic.or.jp/wp-content/uploads/aa207724644abd5a3dae3b580adea5fa.jpg" alt="" class="alignnone wp-image-3342 " width="505" height="217" srcset="https://www.sakaiclinic.or.jp/wp-content/uploads/aa207724644abd5a3dae3b580adea5fa.jpg 2384w, https://www.sakaiclinic.or.jp/wp-content/uploads/aa207724644abd5a3dae3b580adea5fa-770x331.jpg 770w, https://www.sakaiclinic.or.jp/wp-content/uploads/aa207724644abd5a3dae3b580adea5fa-1000x430.jpg 1000w, https://www.sakaiclinic.or.jp/wp-content/uploads/aa207724644abd5a3dae3b580adea5fa-768x330.jpg 768w, https://www.sakaiclinic.or.jp/wp-content/uploads/aa207724644abd5a3dae3b580adea5fa-1536x660.jpg 1536w, https://www.sakaiclinic.or.jp/wp-content/uploads/aa207724644abd5a3dae3b580adea5fa-2048x880.jpg 2048w" sizes="(max-width: 505px) 100vw, 505px" /></p>
</figure>
</div>
</div>
</div>
</section>
<table class="table01">
<tbody>
<tr>
<th style="text-align: center;"><strong>年齢</strong></th>
<td>77才</td>
</tr>
<tr>
<th style="text-align: center;"><strong>性別</strong></th>
<td>女性</td>
</tr>
<tr>
<th style="text-align: center;"><strong>治療内容</strong></th>
<td>
<p>インプラント治療</p>
<p>元々２つ（上と下）の入れ歯を使用していましたが、下の奥歯にインプラントを入れ、入れ歯も１つ（上のみ）になり、快適に過ごされています。</p>
</td>
</tr>
<tr>
<th style="text-align: center;">
<p><strong>治療回数</strong></p>
<p><strong>(期間)</strong></p>
</th>
<td>約４ヶ月</td>
</tr>
<tr>
<th style="text-align: center;"><strong>治療費</strong></th>
<td>1本につき、476,300円（税込）～</td>
</tr>
<tr>
<th style="text-align: center;"><strong>リスク</strong></th>
<td>インプラント歯周炎、メインテナンスが必要</td>
</tr>
</tbody>
</table><p>The post <a href="https://www.sakaiclinic.or.jp/news/3341/" target="_blank">【症例紹介】インプラント治療-４</a> first appeared on <a href="https://www.sakaiclinic.or.jp/" target="_blank">坂井おとなこども歯科</a>.</p>]]></content:encoded>
					
					<wfw:commentRss>https://www.sakaiclinic.or.jp/news/3341/feed/</wfw:commentRss>
			<slash:comments>0</slash:comments>
		
		
			</item>
		<item>
		<title>【症例紹介】シンラ（噛み合わせ治療）・クラウン・義歯</title>
		<link>https://www.sakaiclinic.or.jp/news/2865/</link>
					<comments>https://www.sakaiclinic.or.jp/news/2865/#respond</comments>
		
		<dc:creator><![CDATA[sakai]]></dc:creator>
		<pubDate>Tue, 18 Apr 2023 01:20:44 +0000</pubDate>
				<category><![CDATA[すべての症例]]></category>
		<category><![CDATA[入れ歯]]></category>
		<category><![CDATA[噛み合わせ治療]]></category>
		<category><![CDATA[新着情報]]></category>
		<category><![CDATA[詰め物・被せ物]]></category>
		<guid isPermaLink="false">https://www.sakaiclinic.or.jp/news/2865/</guid>

					<description><![CDATA[<p>Before After Before After Before After Before After Before After 年齢 治療当時　75歳 性別 女性 治療内容 ・シンラシステム（噛み合わせ治療） ・クラウ [&#8230;]</p>
<p>The post <a href="https://www.sakaiclinic.or.jp/news/2865/" target="_blank">【症例紹介】シンラ（噛み合わせ治療）・クラウン・義歯</a> first appeared on <a href="https://www.sakaiclinic.or.jp/" target="_blank">坂井おとなこども歯科</a>.</p>]]></description>
										<content:encoded><![CDATA[<section>
<div class="container gutters">
<div class="row bf-af col2">
<div class="before">
<figure><figcaption>Before</figcaption><p><span><img loading="lazy" src="https://www.sakaiclinic.or.jp/wp-content/uploads/08b2ec9f80fa5e2e6419e266bcf05b64.jpg" alt="" class="alignnone wp-image-2883 size-full" width="1060" height="529" srcset="https://www.sakaiclinic.or.jp/wp-content/uploads/08b2ec9f80fa5e2e6419e266bcf05b64.jpg 1060w, https://www.sakaiclinic.or.jp/wp-content/uploads/08b2ec9f80fa5e2e6419e266bcf05b64-770x384.jpg 770w, https://www.sakaiclinic.or.jp/wp-content/uploads/08b2ec9f80fa5e2e6419e266bcf05b64-1000x499.jpg 1000w, https://www.sakaiclinic.or.jp/wp-content/uploads/08b2ec9f80fa5e2e6419e266bcf05b64-768x383.jpg 768w" sizes="(max-width: 1060px) 100vw, 1060px" /></span></p>
</figure>
</div>
<div class="after">
<figure><figcaption>After</figcaption><p><img loading="lazy" src="https://www.sakaiclinic.or.jp/wp-content/uploads/68ae333c23bc8a4aacd830c3f702e18d.jpg" alt="" class="alignnone wp-image-2878 size-full" width="1060" height="530" srcset="https://www.sakaiclinic.or.jp/wp-content/uploads/68ae333c23bc8a4aacd830c3f702e18d.jpg 1060w, https://www.sakaiclinic.or.jp/wp-content/uploads/68ae333c23bc8a4aacd830c3f702e18d-770x385.jpg 770w, https://www.sakaiclinic.or.jp/wp-content/uploads/68ae333c23bc8a4aacd830c3f702e18d-1000x500.jpg 1000w, https://www.sakaiclinic.or.jp/wp-content/uploads/68ae333c23bc8a4aacd830c3f702e18d-768x384.jpg 768w" sizes="(max-width: 1060px) 100vw, 1060px" /></p>
</figure>
</div>
</div>
</div>
</section>
<section>
<div class="container gutters">
<div class="row bf-af col2">
<div class="before">
<figure><figcaption>Before</figcaption><p><span><img loading="lazy" src="https://www.sakaiclinic.or.jp/wp-content/uploads/cdc5cdd5dd6f06b9116b877812ec320d.jpg" alt="" class="alignnone wp-image-2887 size-full" width="1060" height="530" srcset="https://www.sakaiclinic.or.jp/wp-content/uploads/cdc5cdd5dd6f06b9116b877812ec320d.jpg 1060w, https://www.sakaiclinic.or.jp/wp-content/uploads/cdc5cdd5dd6f06b9116b877812ec320d-770x385.jpg 770w, https://www.sakaiclinic.or.jp/wp-content/uploads/cdc5cdd5dd6f06b9116b877812ec320d-1000x500.jpg 1000w, https://www.sakaiclinic.or.jp/wp-content/uploads/cdc5cdd5dd6f06b9116b877812ec320d-768x384.jpg 768w" sizes="(max-width: 1060px) 100vw, 1060px" /></span></p>
</figure>
</div>
<div class="after">
<figure><figcaption>After</figcaption><p><img loading="lazy" src="https://www.sakaiclinic.or.jp/wp-content/uploads/b17bf1b4258de5e5e044e6ab6cb26490.jpg" alt="" class="alignnone wp-image-2882 size-full" width="1060" height="530" srcset="https://www.sakaiclinic.or.jp/wp-content/uploads/b17bf1b4258de5e5e044e6ab6cb26490.jpg 1060w, https://www.sakaiclinic.or.jp/wp-content/uploads/b17bf1b4258de5e5e044e6ab6cb26490-770x385.jpg 770w, https://www.sakaiclinic.or.jp/wp-content/uploads/b17bf1b4258de5e5e044e6ab6cb26490-1000x500.jpg 1000w, https://www.sakaiclinic.or.jp/wp-content/uploads/b17bf1b4258de5e5e044e6ab6cb26490-768x384.jpg 768w" sizes="(max-width: 1060px) 100vw, 1060px" /></p>
</figure>
</div>
</div>
</div>
</section>
<section>
<div class="container gutters">
<div class="row bf-af col2">
<div class="before">
<figure><figcaption>Before</figcaption><p><span><img loading="lazy" src="https://www.sakaiclinic.or.jp/wp-content/uploads/b46da8f4c17b14491b17a44824160910.jpg" alt="" class="alignnone wp-image-2885 size-full" width="1060" height="529" srcset="https://www.sakaiclinic.or.jp/wp-content/uploads/b46da8f4c17b14491b17a44824160910.jpg 1060w, https://www.sakaiclinic.or.jp/wp-content/uploads/b46da8f4c17b14491b17a44824160910-770x384.jpg 770w, https://www.sakaiclinic.or.jp/wp-content/uploads/b46da8f4c17b14491b17a44824160910-1000x499.jpg 1000w, https://www.sakaiclinic.or.jp/wp-content/uploads/b46da8f4c17b14491b17a44824160910-768x383.jpg 768w" sizes="(max-width: 1060px) 100vw, 1060px" /></span></p>
</figure>
</div>
<div class="after">
<figure><figcaption>After</figcaption><p><img loading="lazy" src="https://www.sakaiclinic.or.jp/wp-content/uploads/52f4585abd82c6321055f6d51cd64468.jpg" alt="" class="alignnone wp-image-2880 size-full" width="1060" height="530" srcset="https://www.sakaiclinic.or.jp/wp-content/uploads/52f4585abd82c6321055f6d51cd64468.jpg 1060w, https://www.sakaiclinic.or.jp/wp-content/uploads/52f4585abd82c6321055f6d51cd64468-770x385.jpg 770w, https://www.sakaiclinic.or.jp/wp-content/uploads/52f4585abd82c6321055f6d51cd64468-1000x500.jpg 1000w, https://www.sakaiclinic.or.jp/wp-content/uploads/52f4585abd82c6321055f6d51cd64468-768x384.jpg 768w" sizes="(max-width: 1060px) 100vw, 1060px" /></p>
</figure>
</div>
</div>
</div>
</section>
<section>
<div class="container gutters">
<div class="row bf-af col2">
<div class="before">
<figure><figcaption>Before</figcaption><p><span><img loading="lazy" src="https://www.sakaiclinic.or.jp/wp-content/uploads/7246ea129f4f735f33788f0186f2402a.jpg" alt="" class="alignnone wp-image-2886 size-full" width="1060" height="795" srcset="https://www.sakaiclinic.or.jp/wp-content/uploads/7246ea129f4f735f33788f0186f2402a.jpg 1060w, https://www.sakaiclinic.or.jp/wp-content/uploads/7246ea129f4f735f33788f0186f2402a-770x578.jpg 770w, https://www.sakaiclinic.or.jp/wp-content/uploads/7246ea129f4f735f33788f0186f2402a-1000x750.jpg 1000w, https://www.sakaiclinic.or.jp/wp-content/uploads/7246ea129f4f735f33788f0186f2402a-768x576.jpg 768w" sizes="(max-width: 1060px) 100vw, 1060px" /></span></p>
</figure>
</div>
<div class="after">
<figure><figcaption>After</figcaption><p><img loading="lazy" src="https://www.sakaiclinic.or.jp/wp-content/uploads/c6b2c89189a38c39a0de7bdc9523e572.jpg" alt="" class="alignnone wp-image-2881 size-full" width="1060" height="794" srcset="https://www.sakaiclinic.or.jp/wp-content/uploads/c6b2c89189a38c39a0de7bdc9523e572.jpg 1060w, https://www.sakaiclinic.or.jp/wp-content/uploads/c6b2c89189a38c39a0de7bdc9523e572-770x577.jpg 770w, https://www.sakaiclinic.or.jp/wp-content/uploads/c6b2c89189a38c39a0de7bdc9523e572-1000x749.jpg 1000w, https://www.sakaiclinic.or.jp/wp-content/uploads/c6b2c89189a38c39a0de7bdc9523e572-768x575.jpg 768w" sizes="(max-width: 1060px) 100vw, 1060px" /></p>
</figure>
</div>
</div>
</div>
</section>
<section>
<div class="container gutters">
<div class="row bf-af col2">
<div class="before">
<figure><figcaption>Before</figcaption><p><span><img loading="lazy" src="https://www.sakaiclinic.or.jp/wp-content/uploads/96384c0507a9f0ce226ad0d93283f249.jpg" alt="" class="alignnone wp-image-2884 size-full" width="1060" height="795" srcset="https://www.sakaiclinic.or.jp/wp-content/uploads/96384c0507a9f0ce226ad0d93283f249.jpg 1060w, https://www.sakaiclinic.or.jp/wp-content/uploads/96384c0507a9f0ce226ad0d93283f249-770x578.jpg 770w, https://www.sakaiclinic.or.jp/wp-content/uploads/96384c0507a9f0ce226ad0d93283f249-1000x750.jpg 1000w, https://www.sakaiclinic.or.jp/wp-content/uploads/96384c0507a9f0ce226ad0d93283f249-768x576.jpg 768w" sizes="(max-width: 1060px) 100vw, 1060px" /></span></p>
</figure>
</div>
<div class="after">
<figure><figcaption>After</figcaption><p><img loading="lazy" src="https://www.sakaiclinic.or.jp/wp-content/uploads/4cfa5ea9542a8956f68a738614804483.jpg" alt="" class="alignnone wp-image-2879 size-full" width="1060" height="795" srcset="https://www.sakaiclinic.or.jp/wp-content/uploads/4cfa5ea9542a8956f68a738614804483.jpg 1060w, https://www.sakaiclinic.or.jp/wp-content/uploads/4cfa5ea9542a8956f68a738614804483-770x578.jpg 770w, https://www.sakaiclinic.or.jp/wp-content/uploads/4cfa5ea9542a8956f68a738614804483-1000x750.jpg 1000w, https://www.sakaiclinic.or.jp/wp-content/uploads/4cfa5ea9542a8956f68a738614804483-768x576.jpg 768w" sizes="(max-width: 1060px) 100vw, 1060px" /></p>
</figure>
</div>
</div>
</div>
</section>
<table class="table01">
<tbody>
<tr>
<th style="text-align: center;"><strong>年齢</strong></th>
<td>治療当時　75歳</td>
</tr>
<tr>
<th style="text-align: center;"><strong>性別</strong></th>
<td>女性</td>
</tr>
<tr>
<th style="text-align: center;"><strong>治療内容</strong></th>
<td>
<p>・シンラシステム（噛み合わせ治療）<br />
・クラウン<br />
・義歯</p>
</td>
</tr>
<tr>
<th style="text-align: center;"><strong>治療回数<br />
（期間）</strong></th>
<td>・上記治療内容がすべて終了するまで　約3年</td>
</tr>
<tr>
<th style="text-align: center;"><strong>治療費</strong></th>
<td>
<p>・シンラシステム　￥275,000（税込）<br />
・メタルボンドクラウン　￥91,300　×　11本　＝　￥1,004,300（税込）<br />
・フルメタルクラウン　　￥91,300　×　2本　　＝　￥182,600（税込）<br />
・ノンクラスプ義歯　　￥275,000（税込）<br />
・メタルプレート義歯　￥275,000</p>
</td>
</tr>
<tr>
<th style="text-align: center;"><strong>リスク</strong></th>
<td><span>・シンラシステムは、歯周病やむし歯で歯を失い、10年以上かけて変化した噛み合わせ を回復する治療のため、仮の噛み合わせで数カ月かけて経過をみていきます。その間に、 痛みや問題が生じることもあり得ますが、体の変化に合わせて治療のゴールを決めて いきます。</span><br />
<span>・セラミッククラウンは、かみ合わせが悪かったり、歯ぎしりが強い方が使用すると欠ける可能性があります。</span><br />
<span>・義歯は、長期間使用すると、歯がすり減ってしまうことがあります。体重の変化により、ゆるくなることがあります。</span></td>
</tr>
</tbody>
</table><p>The post <a href="https://www.sakaiclinic.or.jp/news/2865/" target="_blank">【症例紹介】シンラ（噛み合わせ治療）・クラウン・義歯</a> first appeared on <a href="https://www.sakaiclinic.or.jp/" target="_blank">坂井おとなこども歯科</a>.</p>]]></content:encoded>
					
					<wfw:commentRss>https://www.sakaiclinic.or.jp/news/2865/feed/</wfw:commentRss>
			<slash:comments>0</slash:comments>
		
		
			</item>
		<item>
		<title>【症例紹介】シンラ（噛み合わせ治療）・部分矯正・セラミッククラウン・義歯</title>
		<link>https://www.sakaiclinic.or.jp/news/2844/</link>
					<comments>https://www.sakaiclinic.or.jp/news/2844/#respond</comments>
		
		<dc:creator><![CDATA[sakai]]></dc:creator>
		<pubDate>Mon, 17 Apr 2023 07:05:51 +0000</pubDate>
				<category><![CDATA[すべての症例]]></category>
		<category><![CDATA[入れ歯]]></category>
		<category><![CDATA[噛み合わせ治療]]></category>
		<category><![CDATA[新着情報]]></category>
		<category><![CDATA[詰め物・被せ物]]></category>
		<guid isPermaLink="false">https://www.sakaiclinic.or.jp/news/2844/</guid>

					<description><![CDATA[<p>Before After Before After Before After 年齢 治療当時　68歳 性別 女性 治療内容 シンラシステム（噛み合わせ治療） 部分矯正 セラミッククラウン 義歯 治療回数 （期間） ・上記 [&#8230;]</p>
<p>The post <a href="https://www.sakaiclinic.or.jp/news/2844/" target="_blank">【症例紹介】シンラ（噛み合わせ治療）・部分矯正・セラミッククラウン・義歯</a> first appeared on <a href="https://www.sakaiclinic.or.jp/" target="_blank">坂井おとなこども歯科</a>.</p>]]></description>
										<content:encoded><![CDATA[<section>
<div class="container gutters">
<div class="row bf-af col2">
<div class="before">
<figure><figcaption>Before</figcaption><p><span><img loading="lazy" src="https://www.sakaiclinic.or.jp/wp-content/uploads/ca0251931c688a68a1f81155ff624f49.jpg" alt="" class="alignnone wp-image-2851 size-full" width="1060" height="596" srcset="https://www.sakaiclinic.or.jp/wp-content/uploads/ca0251931c688a68a1f81155ff624f49.jpg 1060w, https://www.sakaiclinic.or.jp/wp-content/uploads/ca0251931c688a68a1f81155ff624f49-770x433.jpg 770w, https://www.sakaiclinic.or.jp/wp-content/uploads/ca0251931c688a68a1f81155ff624f49-1000x562.jpg 1000w, https://www.sakaiclinic.or.jp/wp-content/uploads/ca0251931c688a68a1f81155ff624f49-768x432.jpg 768w" sizes="(max-width: 1060px) 100vw, 1060px" /></span></p>
</figure>
</div>
<div class="after">
<figure><figcaption>After</figcaption><p><img loading="lazy" src="https://www.sakaiclinic.or.jp/wp-content/uploads/A.jpg" alt="" class="alignnone wp-image-4119 size-full" width="1060" height="595" srcset="https://www.sakaiclinic.or.jp/wp-content/uploads/A.jpg 1060w, https://www.sakaiclinic.or.jp/wp-content/uploads/A-770x432.jpg 770w, https://www.sakaiclinic.or.jp/wp-content/uploads/A-1000x561.jpg 1000w, https://www.sakaiclinic.or.jp/wp-content/uploads/A-768x431.jpg 768w" sizes="(max-width: 1060px) 100vw, 1060px" /></p>
</figure>
</div>
</div>
</div>
</section>
<section>
<div class="container gutters">
<div class="row bf-af col2">
<div class="before">
<figure><figcaption>Before</figcaption><p><span><img loading="lazy" src="https://www.sakaiclinic.or.jp/wp-content/uploads/eb37e6957dba8a0f14f5cf0ad87f0952.jpg" alt="" class="alignnone wp-image-2855 size-full" width="1060" height="596" srcset="https://www.sakaiclinic.or.jp/wp-content/uploads/eb37e6957dba8a0f14f5cf0ad87f0952.jpg 1060w, https://www.sakaiclinic.or.jp/wp-content/uploads/eb37e6957dba8a0f14f5cf0ad87f0952-770x433.jpg 770w, https://www.sakaiclinic.or.jp/wp-content/uploads/eb37e6957dba8a0f14f5cf0ad87f0952-1000x562.jpg 1000w, https://www.sakaiclinic.or.jp/wp-content/uploads/eb37e6957dba8a0f14f5cf0ad87f0952-768x432.jpg 768w" sizes="(max-width: 1060px) 100vw, 1060px" /></span></p>
</figure>
</div>
<div class="after">
<figure><figcaption>After</figcaption><p><img loading="lazy" src="https://www.sakaiclinic.or.jp/wp-content/uploads/Ab36405023982186a1f5ec04b5f0e01e0.jpg" alt="" class="alignnone wp-image-4120 size-full" width="1060" height="596" srcset="https://www.sakaiclinic.or.jp/wp-content/uploads/Ab36405023982186a1f5ec04b5f0e01e0.jpg 1060w, https://www.sakaiclinic.or.jp/wp-content/uploads/Ab36405023982186a1f5ec04b5f0e01e0-770x433.jpg 770w, https://www.sakaiclinic.or.jp/wp-content/uploads/Ab36405023982186a1f5ec04b5f0e01e0-1000x562.jpg 1000w, https://www.sakaiclinic.or.jp/wp-content/uploads/Ab36405023982186a1f5ec04b5f0e01e0-768x432.jpg 768w" sizes="(max-width: 1060px) 100vw, 1060px" /></p>
</figure>
</div>
</div>
</div>
</section>
<section>
<div class="container gutters">
<div class="row bf-af col2">
<div class="before">
<figure><figcaption>Before</figcaption><p><span><img loading="lazy" src="https://www.sakaiclinic.or.jp/wp-content/uploads/d2df4c4eec52da61260371148f0c8ad0.jpg" alt="" class="alignnone wp-image-2853 size-full" width="1060" height="596" srcset="https://www.sakaiclinic.or.jp/wp-content/uploads/d2df4c4eec52da61260371148f0c8ad0.jpg 1060w, https://www.sakaiclinic.or.jp/wp-content/uploads/d2df4c4eec52da61260371148f0c8ad0-770x433.jpg 770w, https://www.sakaiclinic.or.jp/wp-content/uploads/d2df4c4eec52da61260371148f0c8ad0-1000x562.jpg 1000w, https://www.sakaiclinic.or.jp/wp-content/uploads/d2df4c4eec52da61260371148f0c8ad0-768x432.jpg 768w" sizes="(max-width: 1060px) 100vw, 1060px" /></span></p>
</figure>
</div>
<div class="after">
<figure><figcaption>After</figcaption><p><img loading="lazy" src="https://www.sakaiclinic.or.jp/wp-content/uploads/1492881b4d580cadee7157a6a1269fbe.jpeg" alt="" class="alignnone wp-image-4118 size-full" width="1060" height="596" srcset="https://www.sakaiclinic.or.jp/wp-content/uploads/1492881b4d580cadee7157a6a1269fbe.jpeg 1060w, https://www.sakaiclinic.or.jp/wp-content/uploads/1492881b4d580cadee7157a6a1269fbe-770x433.jpeg 770w, https://www.sakaiclinic.or.jp/wp-content/uploads/1492881b4d580cadee7157a6a1269fbe-1000x562.jpeg 1000w, https://www.sakaiclinic.or.jp/wp-content/uploads/1492881b4d580cadee7157a6a1269fbe-768x432.jpeg 768w" sizes="(max-width: 1060px) 100vw, 1060px" /></p>
</figure>
</div>
</div>
</div>
</section>
<figure></figure>
<table class="table01">
<tbody>
<tr>
<th style="text-align: center;"><strong>年齢</strong></th>
<td>治療当時　68歳</td>
</tr>
<tr>
<th style="text-align: center;"><strong>性別</strong></th>
<td>女性</td>
</tr>
<tr>
<th style="text-align: center;"><strong>治療内容</strong></th>
<td>
<p>シンラシステム（噛み合わせ治療）<br />
部分矯正<br />
セラミッククラウン<br />
義歯</p>
</td>
</tr>
<tr>
<th style="text-align: center;"><strong>治療回数<br />
（期間）</strong></th>
<td>
<p>・上記治療内容がすべて終了するまで　約2年　</p>
</td>
</tr>
<tr>
<th style="text-align: center;"><strong>治療費</strong></th>
<td>・シンラシステム　￥275,000（税込）<br />
・部分矯正　　　　￥198,000（税込）<br />
・メタルボンドクラウン　￥91,300　×　13本　＝　￥1,186,900（税込）<br />
・オールセラミッククラウン　￥132,000　×　6本　＝　￥792,000（税込）<br />
・ノンクラスプ義歯　￥242,000（税込）</td>
</tr>
<tr>
<th style="text-align: center;"><strong>リスク</strong></th>
<td>・シンラシステムは、歯周病やむし歯で歯を失い、10年以上かけて変化した噛み合わせ を回復する治療のため、仮の噛み合わせで数カ月かけて経過をみていきます。その間に、 痛みや問題が生じることもあり得ますが、体の変化に合わせて治療のゴールを決めて いきます。<br />
・部分矯正は、歯のスペースが極端に少ない場合は、治療が難しいことがあります。<br />
・セラミッククラウンは、かみ合わせが悪かったり、歯ぎしりが強い方が使用すると欠ける可能性があります。<br />
・義歯は、長期間使用すると、歯がすり減ってしまうことがあります。体重の変化により、ゆるくなることがあります。</td>
</tr>
</tbody>
</table><p>The post <a href="https://www.sakaiclinic.or.jp/news/2844/" target="_blank">【症例紹介】シンラ（噛み合わせ治療）・部分矯正・セラミッククラウン・義歯</a> first appeared on <a href="https://www.sakaiclinic.or.jp/" target="_blank">坂井おとなこども歯科</a>.</p>]]></content:encoded>
					
					<wfw:commentRss>https://www.sakaiclinic.or.jp/news/2844/feed/</wfw:commentRss>
			<slash:comments>0</slash:comments>
		
		
			</item>
		<item>
		<title>【症例紹介】マウスピース矯正-3-（インビザラインGO）〈交叉咬合〉</title>
		<link>https://www.sakaiclinic.or.jp/news/2744/</link>
					<comments>https://www.sakaiclinic.or.jp/news/2744/#respond</comments>
		
		<dc:creator><![CDATA[sakai]]></dc:creator>
		<pubDate>Mon, 13 Mar 2023 05:26:06 +0000</pubDate>
				<category><![CDATA[すべての症例]]></category>
		<category><![CDATA[マウスピース矯正]]></category>
		<category><![CDATA[新着情報]]></category>
		<guid isPermaLink="false">https://www.sakaiclinic.or.jp/news/2744/</guid>

					<description><![CDATA[<p>Before After Before After Before After 年齢 47歳 性別 女性 治療内容 インビザラインGOによる、交叉咬合の治療 治療回数 （期間） 約半年間 治療費 418,000円（税込）  [&#8230;]</p>
<p>The post <a href="https://www.sakaiclinic.or.jp/news/2744/" target="_blank">【症例紹介】マウスピース矯正-3-（インビザラインGO）〈交叉咬合〉</a> first appeared on <a href="https://www.sakaiclinic.or.jp/" target="_blank">坂井おとなこども歯科</a>.</p>]]></description>
										<content:encoded><![CDATA[<section>
<div class="container gutters">
<div class="row bf-af col2">
<div class="before">
<figure><figcaption>Before</figcaption><p><span><img loading="lazy" src="https://www.sakaiclinic.or.jp/wp-content/uploads/ac8f88d6.jpg" alt="" class="alignnone wp-image-2745 size-full" width="1060" height="596" srcset="https://www.sakaiclinic.or.jp/wp-content/uploads/ac8f88d6.jpg 1060w, https://www.sakaiclinic.or.jp/wp-content/uploads/ac8f88d6-770x433.jpg 770w, https://www.sakaiclinic.or.jp/wp-content/uploads/ac8f88d6-1000x562.jpg 1000w, https://www.sakaiclinic.or.jp/wp-content/uploads/ac8f88d6-768x432.jpg 768w" sizes="(max-width: 1060px) 100vw, 1060px" /></span></p>
</figure>
</div>
<div class="after">
<figure><figcaption>After</figcaption><p><img loading="lazy" src="https://www.sakaiclinic.or.jp/wp-content/uploads/359f7027.jpg" alt="" class="alignnone wp-image-2746 size-full" width="1060" height="596" srcset="https://www.sakaiclinic.or.jp/wp-content/uploads/359f7027.jpg 1060w, https://www.sakaiclinic.or.jp/wp-content/uploads/359f7027-770x433.jpg 770w, https://www.sakaiclinic.or.jp/wp-content/uploads/359f7027-1000x562.jpg 1000w, https://www.sakaiclinic.or.jp/wp-content/uploads/359f7027-768x432.jpg 768w" sizes="(max-width: 1060px) 100vw, 1060px" /></p>
</figure>
</div>
</div>
</div>
</section>
<section>
<div class="container gutters">
<div class="row bf-af col2">
<div class="before">
<figure><figcaption>Before</figcaption><p><span><img loading="lazy" src="https://www.sakaiclinic.or.jp/wp-content/uploads/34b548ef.jpg" alt="" class="alignnone wp-image-2747 size-full" width="1060" height="596" srcset="https://www.sakaiclinic.or.jp/wp-content/uploads/34b548ef.jpg 1060w, https://www.sakaiclinic.or.jp/wp-content/uploads/34b548ef-770x433.jpg 770w, https://www.sakaiclinic.or.jp/wp-content/uploads/34b548ef-1000x562.jpg 1000w, https://www.sakaiclinic.or.jp/wp-content/uploads/34b548ef-768x432.jpg 768w" sizes="(max-width: 1060px) 100vw, 1060px" /></span></p>
</figure>
</div>
<div class="after">
<figure><figcaption>After</figcaption><p><img loading="lazy" src="https://www.sakaiclinic.or.jp/wp-content/uploads/5ec3170a.jpg" alt="" class="alignnone wp-image-2749 size-full" width="1060" height="596" srcset="https://www.sakaiclinic.or.jp/wp-content/uploads/5ec3170a.jpg 1060w, https://www.sakaiclinic.or.jp/wp-content/uploads/5ec3170a-770x433.jpg 770w, https://www.sakaiclinic.or.jp/wp-content/uploads/5ec3170a-1000x562.jpg 1000w, https://www.sakaiclinic.or.jp/wp-content/uploads/5ec3170a-768x432.jpg 768w" sizes="(max-width: 1060px) 100vw, 1060px" /></p>
</figure>
</div>
</div>
</div>
</section>
<section>
<div class="container gutters">
<div class="row bf-af col2">
<div class="before">
<figure><figcaption>Before</figcaption><p><span><img loading="lazy" src="https://www.sakaiclinic.or.jp/wp-content/uploads/2c773efe.jpg" alt="" class="alignnone wp-image-2750 size-full" width="1060" height="596" srcset="https://www.sakaiclinic.or.jp/wp-content/uploads/2c773efe.jpg 1060w, https://www.sakaiclinic.or.jp/wp-content/uploads/2c773efe-770x433.jpg 770w, https://www.sakaiclinic.or.jp/wp-content/uploads/2c773efe-1000x562.jpg 1000w, https://www.sakaiclinic.or.jp/wp-content/uploads/2c773efe-768x432.jpg 768w" sizes="(max-width: 1060px) 100vw, 1060px" /></span></p>
</figure>
</div>
<div class="after">
<figure><figcaption>After</figcaption><p><img loading="lazy" src="https://www.sakaiclinic.or.jp/wp-content/uploads/ce52a5c9.jpg" alt="" class="alignnone wp-image-2751 size-full" width="1060" height="596" srcset="https://www.sakaiclinic.or.jp/wp-content/uploads/ce52a5c9.jpg 1060w, https://www.sakaiclinic.or.jp/wp-content/uploads/ce52a5c9-770x433.jpg 770w, https://www.sakaiclinic.or.jp/wp-content/uploads/ce52a5c9-1000x562.jpg 1000w, https://www.sakaiclinic.or.jp/wp-content/uploads/ce52a5c9-768x432.jpg 768w" sizes="(max-width: 1060px) 100vw, 1060px" /></p>
</figure>
</div>
</div>
</div>
</section>
<table class="table01">
<tbody>
<tr>
<th style="text-align: center;"><strong>年齢</strong></th>
<td>47歳</td>
</tr>
<tr>
<th style="text-align: center;"><strong>性別</strong></th>
<td>女性</td>
</tr>
<tr>
<th style="text-align: center;"><strong>治療内容</strong></th>
<td>インビザラインGOによる、交叉咬合の治療</td>
</tr>
<tr>
<th style="text-align: center;"><strong>治療回数<br />
（期間）</strong></th>
<td>約半年間</td>
</tr>
<tr>
<th style="text-align: center;"><strong>治療費</strong></th>
<td>418,000円（税込）</td>
</tr>
<tr>
<th style="text-align: center;"><strong>リスク</strong></th>
<td>取り外し可能な装置の為、治療の効果が使用頻度に左右されます。</td>
</tr>
</tbody>
</table><p>The post <a href="https://www.sakaiclinic.or.jp/news/2744/" target="_blank">【症例紹介】マウスピース矯正-3-（インビザラインGO）〈交叉咬合〉</a> first appeared on <a href="https://www.sakaiclinic.or.jp/" target="_blank">坂井おとなこども歯科</a>.</p>]]></content:encoded>
					
					<wfw:commentRss>https://www.sakaiclinic.or.jp/news/2744/feed/</wfw:commentRss>
			<slash:comments>0</slash:comments>
		
		
			</item>
	</channel>
</rss>
