<?xml version="1.0" encoding="UTF-8"?><rss version="2.0"
	xmlns:content="http://purl.org/rss/1.0/modules/content/"
	xmlns:wfw="http://wellformedweb.org/CommentAPI/"
	xmlns:dc="http://purl.org/dc/elements/1.1/"
	xmlns:atom="http://www.w3.org/2005/Atom"
	xmlns:sy="http://purl.org/rss/1.0/modules/syndication/"
	xmlns:slash="http://purl.org/rss/1.0/modules/slash/"
	>

<channel>
	<title>詰め物・被せ物 &#8211; 坂井おとなこども歯科</title>
	<atom:link href="https://www.sakaiclinic.or.jp/case-blog/case3/feed/" rel="self" type="application/rss+xml" />
	<link>https://www.sakaiclinic.or.jp</link>
	<description></description>
	<lastBuildDate>Fri, 07 Mar 2025 03:10:41 +0000</lastBuildDate>
	<language>ja</language>
	<sy:updatePeriod>
	hourly	</sy:updatePeriod>
	<sy:updateFrequency>
	1	</sy:updateFrequency>
	<generator>https://wordpress.org/?v=5.5.18</generator>

<image>
	<url>https://www.sakaiclinic.or.jp/wp-content/uploads/cropped-favicon-32x32.png</url>
	<title>詰め物・被せ物 &#8211; 坂井おとなこども歯科</title>
	<link>https://www.sakaiclinic.or.jp</link>
	<width>32</width>
	<height>32</height>
</image> 
	<item>
		<title>【症例紹介】ホームホワイトニング＋セラミッククラウン-２-</title>
		<link>https://www.sakaiclinic.or.jp/news/4666/</link>
					<comments>https://www.sakaiclinic.or.jp/news/4666/#respond</comments>
		
		<dc:creator><![CDATA[sakai]]></dc:creator>
		<pubDate>Fri, 07 Mar 2025 03:00:13 +0000</pubDate>
				<category><![CDATA[すべての症例]]></category>
		<category><![CDATA[ホワイトニング]]></category>
		<category><![CDATA[新着情報]]></category>
		<category><![CDATA[詰め物・被せ物]]></category>
		<guid isPermaLink="false">https://www.sakaiclinic.or.jp/news/4666/</guid>

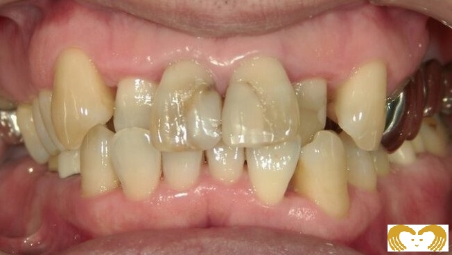
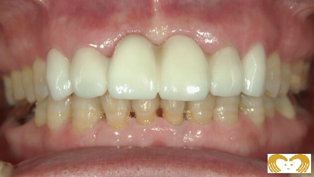
					<description><![CDATA[<p>Before After 年齢 50代 性別 女性 治療内容 ・オフィスホワイトニング ・ジルコボンドクラウン 治療回数（期間） ・オフィスホワイト二ング　1週間おきに３回 ・ジルコボンドクラウン　約1ヵ月 治療費 ・ホ [&#8230;]</p>
<p>The post <a href="https://www.sakaiclinic.or.jp/news/4666/" target="_blank">【症例紹介】ホームホワイトニング＋セラミッククラウン-２-</a> first appeared on <a href="https://www.sakaiclinic.or.jp/" target="_blank">坂井おとなこども歯科</a>.</p>]]></description>
										<content:encoded><![CDATA[<section>
<div class="container gutters">
<div class="row bf-af col2">
<div class="before">
<figure><figcaption>Before</figcaption><p><span><img loading="lazy" src="https://www.sakaiclinic.or.jp/wp-content/uploads/c302a675c41a44677319bacfcdf98759.jpg" alt="" class="alignnone wp-image-4668 size-full" width="1060" height="596" srcset="https://www.sakaiclinic.or.jp/wp-content/uploads/c302a675c41a44677319bacfcdf98759.jpg 1060w, https://www.sakaiclinic.or.jp/wp-content/uploads/c302a675c41a44677319bacfcdf98759-770x433.jpg 770w, https://www.sakaiclinic.or.jp/wp-content/uploads/c302a675c41a44677319bacfcdf98759-1000x562.jpg 1000w, https://www.sakaiclinic.or.jp/wp-content/uploads/c302a675c41a44677319bacfcdf98759-768x432.jpg 768w" sizes="(max-width: 1060px) 100vw, 1060px" /></span></p>
</figure>
</div>
<div class="after">
<figure><figcaption>After</figcaption><p><img loading="lazy" src="https://www.sakaiclinic.or.jp/wp-content/uploads/091ca210afd9dbb1be4d51a7bb40ea0a.jpg" alt="" class="alignnone wp-image-4667 size-full" width="1060" height="596" srcset="https://www.sakaiclinic.or.jp/wp-content/uploads/091ca210afd9dbb1be4d51a7bb40ea0a.jpg 1060w, https://www.sakaiclinic.or.jp/wp-content/uploads/091ca210afd9dbb1be4d51a7bb40ea0a-770x433.jpg 770w, https://www.sakaiclinic.or.jp/wp-content/uploads/091ca210afd9dbb1be4d51a7bb40ea0a-1000x562.jpg 1000w, https://www.sakaiclinic.or.jp/wp-content/uploads/091ca210afd9dbb1be4d51a7bb40ea0a-768x432.jpg 768w" sizes="(max-width: 1060px) 100vw, 1060px" /></p>
</figure>
</div>
</div>
</div>
</section>
<table class="table01">
<tbody>
<tr>
<th style="text-align: center;"><strong>年齢</strong></th>
<td>50代</td>
</tr>
<tr>
<th style="text-align: center;"><strong>性別</strong></th>
<td>女性</td>
</tr>
<tr>
<th style="text-align: center;"><strong>治療内容</strong></th>
<td>
<p>・オフィスホワイトニング<br />
・ジルコボンドクラウン</p>
</td>
</tr>
<tr>
<th style="text-align: center;"><strong>治療回数（期間）</strong></th>
<td>・オフィスホワイト二ング　1週間おきに３回<br />
・ジルコボンドクラウン　約1ヵ月</td>
</tr>
<tr>
<th style="text-align: center;"><strong>治療費</strong></th>
<td>・ホワイトニング　42<span>,500</span>円（税込）<br />
・ジルコボンドクラウン　132,000円（税込）×3</td>
</tr>
<tr>
<th style="text-align: center;"><strong>リスク</strong></th>
<td>ホワイトニング：人によって、知覚過敏の症状が出ることがあります。<br />
ジルコボンドクラウン：咬み合わせが悪い方や歯ぎしりの強い方は破折する可能性があります。神経のある歯を削る場合は神経へダメージを与える可能性があるので、低年齢の方は特に注意が必要です。</td>
</tr>
</tbody>
</table><p>The post <a href="https://www.sakaiclinic.or.jp/news/4666/" target="_blank">【症例紹介】ホームホワイトニング＋セラミッククラウン-２-</a> first appeared on <a href="https://www.sakaiclinic.or.jp/" target="_blank">坂井おとなこども歯科</a>.</p>]]></content:encoded>
					
					<wfw:commentRss>https://www.sakaiclinic.or.jp/news/4666/feed/</wfw:commentRss>
			<slash:comments>0</slash:comments>
		
		
			</item>
		<item>
		<title>【症例紹介】シンラ（噛み合わせ治療）・クラウン・義歯</title>
		<link>https://www.sakaiclinic.or.jp/news/2865/</link>
					<comments>https://www.sakaiclinic.or.jp/news/2865/#respond</comments>
		
		<dc:creator><![CDATA[sakai]]></dc:creator>
		<pubDate>Tue, 18 Apr 2023 01:20:44 +0000</pubDate>
				<category><![CDATA[すべての症例]]></category>
		<category><![CDATA[入れ歯]]></category>
		<category><![CDATA[噛み合わせ治療]]></category>
		<category><![CDATA[新着情報]]></category>
		<category><![CDATA[詰め物・被せ物]]></category>
		<guid isPermaLink="false">https://www.sakaiclinic.or.jp/news/2865/</guid>

					<description><![CDATA[<p>Before After Before After Before After Before After Before After 年齢 治療当時　75歳 性別 女性 治療内容 ・シンラシステム（噛み合わせ治療） ・クラウ [&#8230;]</p>
<p>The post <a href="https://www.sakaiclinic.or.jp/news/2865/" target="_blank">【症例紹介】シンラ（噛み合わせ治療）・クラウン・義歯</a> first appeared on <a href="https://www.sakaiclinic.or.jp/" target="_blank">坂井おとなこども歯科</a>.</p>]]></description>
										<content:encoded><![CDATA[<section>
<div class="container gutters">
<div class="row bf-af col2">
<div class="before">
<figure><figcaption>Before</figcaption><p><span><img loading="lazy" src="https://www.sakaiclinic.or.jp/wp-content/uploads/08b2ec9f80fa5e2e6419e266bcf05b64.jpg" alt="" class="alignnone wp-image-2883 size-full" width="1060" height="529" srcset="https://www.sakaiclinic.or.jp/wp-content/uploads/08b2ec9f80fa5e2e6419e266bcf05b64.jpg 1060w, https://www.sakaiclinic.or.jp/wp-content/uploads/08b2ec9f80fa5e2e6419e266bcf05b64-770x384.jpg 770w, https://www.sakaiclinic.or.jp/wp-content/uploads/08b2ec9f80fa5e2e6419e266bcf05b64-1000x499.jpg 1000w, https://www.sakaiclinic.or.jp/wp-content/uploads/08b2ec9f80fa5e2e6419e266bcf05b64-768x383.jpg 768w" sizes="(max-width: 1060px) 100vw, 1060px" /></span></p>
</figure>
</div>
<div class="after">
<figure><figcaption>After</figcaption><p><img loading="lazy" src="https://www.sakaiclinic.or.jp/wp-content/uploads/68ae333c23bc8a4aacd830c3f702e18d.jpg" alt="" class="alignnone wp-image-2878 size-full" width="1060" height="530" srcset="https://www.sakaiclinic.or.jp/wp-content/uploads/68ae333c23bc8a4aacd830c3f702e18d.jpg 1060w, https://www.sakaiclinic.or.jp/wp-content/uploads/68ae333c23bc8a4aacd830c3f702e18d-770x385.jpg 770w, https://www.sakaiclinic.or.jp/wp-content/uploads/68ae333c23bc8a4aacd830c3f702e18d-1000x500.jpg 1000w, https://www.sakaiclinic.or.jp/wp-content/uploads/68ae333c23bc8a4aacd830c3f702e18d-768x384.jpg 768w" sizes="(max-width: 1060px) 100vw, 1060px" /></p>
</figure>
</div>
</div>
</div>
</section>
<section>
<div class="container gutters">
<div class="row bf-af col2">
<div class="before">
<figure><figcaption>Before</figcaption><p><span><img loading="lazy" src="https://www.sakaiclinic.or.jp/wp-content/uploads/cdc5cdd5dd6f06b9116b877812ec320d.jpg" alt="" class="alignnone wp-image-2887 size-full" width="1060" height="530" srcset="https://www.sakaiclinic.or.jp/wp-content/uploads/cdc5cdd5dd6f06b9116b877812ec320d.jpg 1060w, https://www.sakaiclinic.or.jp/wp-content/uploads/cdc5cdd5dd6f06b9116b877812ec320d-770x385.jpg 770w, https://www.sakaiclinic.or.jp/wp-content/uploads/cdc5cdd5dd6f06b9116b877812ec320d-1000x500.jpg 1000w, https://www.sakaiclinic.or.jp/wp-content/uploads/cdc5cdd5dd6f06b9116b877812ec320d-768x384.jpg 768w" sizes="(max-width: 1060px) 100vw, 1060px" /></span></p>
</figure>
</div>
<div class="after">
<figure><figcaption>After</figcaption><p><img loading="lazy" src="https://www.sakaiclinic.or.jp/wp-content/uploads/b17bf1b4258de5e5e044e6ab6cb26490.jpg" alt="" class="alignnone wp-image-2882 size-full" width="1060" height="530" srcset="https://www.sakaiclinic.or.jp/wp-content/uploads/b17bf1b4258de5e5e044e6ab6cb26490.jpg 1060w, https://www.sakaiclinic.or.jp/wp-content/uploads/b17bf1b4258de5e5e044e6ab6cb26490-770x385.jpg 770w, https://www.sakaiclinic.or.jp/wp-content/uploads/b17bf1b4258de5e5e044e6ab6cb26490-1000x500.jpg 1000w, https://www.sakaiclinic.or.jp/wp-content/uploads/b17bf1b4258de5e5e044e6ab6cb26490-768x384.jpg 768w" sizes="(max-width: 1060px) 100vw, 1060px" /></p>
</figure>
</div>
</div>
</div>
</section>
<section>
<div class="container gutters">
<div class="row bf-af col2">
<div class="before">
<figure><figcaption>Before</figcaption><p><span><img loading="lazy" src="https://www.sakaiclinic.or.jp/wp-content/uploads/b46da8f4c17b14491b17a44824160910.jpg" alt="" class="alignnone wp-image-2885 size-full" width="1060" height="529" srcset="https://www.sakaiclinic.or.jp/wp-content/uploads/b46da8f4c17b14491b17a44824160910.jpg 1060w, https://www.sakaiclinic.or.jp/wp-content/uploads/b46da8f4c17b14491b17a44824160910-770x384.jpg 770w, https://www.sakaiclinic.or.jp/wp-content/uploads/b46da8f4c17b14491b17a44824160910-1000x499.jpg 1000w, https://www.sakaiclinic.or.jp/wp-content/uploads/b46da8f4c17b14491b17a44824160910-768x383.jpg 768w" sizes="(max-width: 1060px) 100vw, 1060px" /></span></p>
</figure>
</div>
<div class="after">
<figure><figcaption>After</figcaption><p><img loading="lazy" src="https://www.sakaiclinic.or.jp/wp-content/uploads/52f4585abd82c6321055f6d51cd64468.jpg" alt="" class="alignnone wp-image-2880 size-full" width="1060" height="530" srcset="https://www.sakaiclinic.or.jp/wp-content/uploads/52f4585abd82c6321055f6d51cd64468.jpg 1060w, https://www.sakaiclinic.or.jp/wp-content/uploads/52f4585abd82c6321055f6d51cd64468-770x385.jpg 770w, https://www.sakaiclinic.or.jp/wp-content/uploads/52f4585abd82c6321055f6d51cd64468-1000x500.jpg 1000w, https://www.sakaiclinic.or.jp/wp-content/uploads/52f4585abd82c6321055f6d51cd64468-768x384.jpg 768w" sizes="(max-width: 1060px) 100vw, 1060px" /></p>
</figure>
</div>
</div>
</div>
</section>
<section>
<div class="container gutters">
<div class="row bf-af col2">
<div class="before">
<figure><figcaption>Before</figcaption><p><span><img loading="lazy" src="https://www.sakaiclinic.or.jp/wp-content/uploads/7246ea129f4f735f33788f0186f2402a.jpg" alt="" class="alignnone wp-image-2886 size-full" width="1060" height="795" srcset="https://www.sakaiclinic.or.jp/wp-content/uploads/7246ea129f4f735f33788f0186f2402a.jpg 1060w, https://www.sakaiclinic.or.jp/wp-content/uploads/7246ea129f4f735f33788f0186f2402a-770x578.jpg 770w, https://www.sakaiclinic.or.jp/wp-content/uploads/7246ea129f4f735f33788f0186f2402a-1000x750.jpg 1000w, https://www.sakaiclinic.or.jp/wp-content/uploads/7246ea129f4f735f33788f0186f2402a-768x576.jpg 768w" sizes="(max-width: 1060px) 100vw, 1060px" /></span></p>
</figure>
</div>
<div class="after">
<figure><figcaption>After</figcaption><p><img loading="lazy" src="https://www.sakaiclinic.or.jp/wp-content/uploads/c6b2c89189a38c39a0de7bdc9523e572.jpg" alt="" class="alignnone wp-image-2881 size-full" width="1060" height="794" srcset="https://www.sakaiclinic.or.jp/wp-content/uploads/c6b2c89189a38c39a0de7bdc9523e572.jpg 1060w, https://www.sakaiclinic.or.jp/wp-content/uploads/c6b2c89189a38c39a0de7bdc9523e572-770x577.jpg 770w, https://www.sakaiclinic.or.jp/wp-content/uploads/c6b2c89189a38c39a0de7bdc9523e572-1000x749.jpg 1000w, https://www.sakaiclinic.or.jp/wp-content/uploads/c6b2c89189a38c39a0de7bdc9523e572-768x575.jpg 768w" sizes="(max-width: 1060px) 100vw, 1060px" /></p>
</figure>
</div>
</div>
</div>
</section>
<section>
<div class="container gutters">
<div class="row bf-af col2">
<div class="before">
<figure><figcaption>Before</figcaption><p><span><img loading="lazy" src="https://www.sakaiclinic.or.jp/wp-content/uploads/96384c0507a9f0ce226ad0d93283f249.jpg" alt="" class="alignnone wp-image-2884 size-full" width="1060" height="795" srcset="https://www.sakaiclinic.or.jp/wp-content/uploads/96384c0507a9f0ce226ad0d93283f249.jpg 1060w, https://www.sakaiclinic.or.jp/wp-content/uploads/96384c0507a9f0ce226ad0d93283f249-770x578.jpg 770w, https://www.sakaiclinic.or.jp/wp-content/uploads/96384c0507a9f0ce226ad0d93283f249-1000x750.jpg 1000w, https://www.sakaiclinic.or.jp/wp-content/uploads/96384c0507a9f0ce226ad0d93283f249-768x576.jpg 768w" sizes="(max-width: 1060px) 100vw, 1060px" /></span></p>
</figure>
</div>
<div class="after">
<figure><figcaption>After</figcaption><p><img loading="lazy" src="https://www.sakaiclinic.or.jp/wp-content/uploads/4cfa5ea9542a8956f68a738614804483.jpg" alt="" class="alignnone wp-image-2879 size-full" width="1060" height="795" srcset="https://www.sakaiclinic.or.jp/wp-content/uploads/4cfa5ea9542a8956f68a738614804483.jpg 1060w, https://www.sakaiclinic.or.jp/wp-content/uploads/4cfa5ea9542a8956f68a738614804483-770x578.jpg 770w, https://www.sakaiclinic.or.jp/wp-content/uploads/4cfa5ea9542a8956f68a738614804483-1000x750.jpg 1000w, https://www.sakaiclinic.or.jp/wp-content/uploads/4cfa5ea9542a8956f68a738614804483-768x576.jpg 768w" sizes="(max-width: 1060px) 100vw, 1060px" /></p>
</figure>
</div>
</div>
</div>
</section>
<table class="table01">
<tbody>
<tr>
<th style="text-align: center;"><strong>年齢</strong></th>
<td>治療当時　75歳</td>
</tr>
<tr>
<th style="text-align: center;"><strong>性別</strong></th>
<td>女性</td>
</tr>
<tr>
<th style="text-align: center;"><strong>治療内容</strong></th>
<td>
<p>・シンラシステム（噛み合わせ治療）<br />
・クラウン<br />
・義歯</p>
</td>
</tr>
<tr>
<th style="text-align: center;"><strong>治療回数<br />
（期間）</strong></th>
<td>・上記治療内容がすべて終了するまで　約3年</td>
</tr>
<tr>
<th style="text-align: center;"><strong>治療費</strong></th>
<td>
<p>・シンラシステム　￥275,000（税込）<br />
・メタルボンドクラウン　￥91,300　×　11本　＝　￥1,004,300（税込）<br />
・フルメタルクラウン　　￥91,300　×　2本　　＝　￥182,600（税込）<br />
・ノンクラスプ義歯　　￥275,000（税込）<br />
・メタルプレート義歯　￥275,000</p>
</td>
</tr>
<tr>
<th style="text-align: center;"><strong>リスク</strong></th>
<td><span>・シンラシステムは、歯周病やむし歯で歯を失い、10年以上かけて変化した噛み合わせ を回復する治療のため、仮の噛み合わせで数カ月かけて経過をみていきます。その間に、 痛みや問題が生じることもあり得ますが、体の変化に合わせて治療のゴールを決めて いきます。</span><br />
<span>・セラミッククラウンは、かみ合わせが悪かったり、歯ぎしりが強い方が使用すると欠ける可能性があります。</span><br />
<span>・義歯は、長期間使用すると、歯がすり減ってしまうことがあります。体重の変化により、ゆるくなることがあります。</span></td>
</tr>
</tbody>
</table><p>The post <a href="https://www.sakaiclinic.or.jp/news/2865/" target="_blank">【症例紹介】シンラ（噛み合わせ治療）・クラウン・義歯</a> first appeared on <a href="https://www.sakaiclinic.or.jp/" target="_blank">坂井おとなこども歯科</a>.</p>]]></content:encoded>
					
					<wfw:commentRss>https://www.sakaiclinic.or.jp/news/2865/feed/</wfw:commentRss>
			<slash:comments>0</slash:comments>
		
		
			</item>
		<item>
		<title>【症例紹介】シンラ（噛み合わせ治療）・部分矯正・セラミッククラウン・義歯</title>
		<link>https://www.sakaiclinic.or.jp/news/2844/</link>
					<comments>https://www.sakaiclinic.or.jp/news/2844/#respond</comments>
		
		<dc:creator><![CDATA[sakai]]></dc:creator>
		<pubDate>Mon, 17 Apr 2023 07:05:51 +0000</pubDate>
				<category><![CDATA[すべての症例]]></category>
		<category><![CDATA[入れ歯]]></category>
		<category><![CDATA[噛み合わせ治療]]></category>
		<category><![CDATA[新着情報]]></category>
		<category><![CDATA[詰め物・被せ物]]></category>
		<guid isPermaLink="false">https://www.sakaiclinic.or.jp/news/2844/</guid>

					<description><![CDATA[<p>Before After Before After Before After 年齢 治療当時　68歳 性別 女性 治療内容 シンラシステム（噛み合わせ治療） 部分矯正 セラミッククラウン 義歯 治療回数 （期間） ・上記 [&#8230;]</p>
<p>The post <a href="https://www.sakaiclinic.or.jp/news/2844/" target="_blank">【症例紹介】シンラ（噛み合わせ治療）・部分矯正・セラミッククラウン・義歯</a> first appeared on <a href="https://www.sakaiclinic.or.jp/" target="_blank">坂井おとなこども歯科</a>.</p>]]></description>
										<content:encoded><![CDATA[<section>
<div class="container gutters">
<div class="row bf-af col2">
<div class="before">
<figure><figcaption>Before</figcaption><p><span><img loading="lazy" src="https://www.sakaiclinic.or.jp/wp-content/uploads/ca0251931c688a68a1f81155ff624f49.jpg" alt="" class="alignnone wp-image-2851 size-full" width="1060" height="596" srcset="https://www.sakaiclinic.or.jp/wp-content/uploads/ca0251931c688a68a1f81155ff624f49.jpg 1060w, https://www.sakaiclinic.or.jp/wp-content/uploads/ca0251931c688a68a1f81155ff624f49-770x433.jpg 770w, https://www.sakaiclinic.or.jp/wp-content/uploads/ca0251931c688a68a1f81155ff624f49-1000x562.jpg 1000w, https://www.sakaiclinic.or.jp/wp-content/uploads/ca0251931c688a68a1f81155ff624f49-768x432.jpg 768w" sizes="(max-width: 1060px) 100vw, 1060px" /></span></p>
</figure>
</div>
<div class="after">
<figure><figcaption>After</figcaption><p><img loading="lazy" src="https://www.sakaiclinic.or.jp/wp-content/uploads/A.jpg" alt="" class="alignnone wp-image-4119 size-full" width="1060" height="595" srcset="https://www.sakaiclinic.or.jp/wp-content/uploads/A.jpg 1060w, https://www.sakaiclinic.or.jp/wp-content/uploads/A-770x432.jpg 770w, https://www.sakaiclinic.or.jp/wp-content/uploads/A-1000x561.jpg 1000w, https://www.sakaiclinic.or.jp/wp-content/uploads/A-768x431.jpg 768w" sizes="(max-width: 1060px) 100vw, 1060px" /></p>
</figure>
</div>
</div>
</div>
</section>
<section>
<div class="container gutters">
<div class="row bf-af col2">
<div class="before">
<figure><figcaption>Before</figcaption><p><span><img loading="lazy" src="https://www.sakaiclinic.or.jp/wp-content/uploads/eb37e6957dba8a0f14f5cf0ad87f0952.jpg" alt="" class="alignnone wp-image-2855 size-full" width="1060" height="596" srcset="https://www.sakaiclinic.or.jp/wp-content/uploads/eb37e6957dba8a0f14f5cf0ad87f0952.jpg 1060w, https://www.sakaiclinic.or.jp/wp-content/uploads/eb37e6957dba8a0f14f5cf0ad87f0952-770x433.jpg 770w, https://www.sakaiclinic.or.jp/wp-content/uploads/eb37e6957dba8a0f14f5cf0ad87f0952-1000x562.jpg 1000w, https://www.sakaiclinic.or.jp/wp-content/uploads/eb37e6957dba8a0f14f5cf0ad87f0952-768x432.jpg 768w" sizes="(max-width: 1060px) 100vw, 1060px" /></span></p>
</figure>
</div>
<div class="after">
<figure><figcaption>After</figcaption><p><img loading="lazy" src="https://www.sakaiclinic.or.jp/wp-content/uploads/Ab36405023982186a1f5ec04b5f0e01e0.jpg" alt="" class="alignnone wp-image-4120 size-full" width="1060" height="596" srcset="https://www.sakaiclinic.or.jp/wp-content/uploads/Ab36405023982186a1f5ec04b5f0e01e0.jpg 1060w, https://www.sakaiclinic.or.jp/wp-content/uploads/Ab36405023982186a1f5ec04b5f0e01e0-770x433.jpg 770w, https://www.sakaiclinic.or.jp/wp-content/uploads/Ab36405023982186a1f5ec04b5f0e01e0-1000x562.jpg 1000w, https://www.sakaiclinic.or.jp/wp-content/uploads/Ab36405023982186a1f5ec04b5f0e01e0-768x432.jpg 768w" sizes="(max-width: 1060px) 100vw, 1060px" /></p>
</figure>
</div>
</div>
</div>
</section>
<section>
<div class="container gutters">
<div class="row bf-af col2">
<div class="before">
<figure><figcaption>Before</figcaption><p><span><img loading="lazy" src="https://www.sakaiclinic.or.jp/wp-content/uploads/d2df4c4eec52da61260371148f0c8ad0.jpg" alt="" class="alignnone wp-image-2853 size-full" width="1060" height="596" srcset="https://www.sakaiclinic.or.jp/wp-content/uploads/d2df4c4eec52da61260371148f0c8ad0.jpg 1060w, https://www.sakaiclinic.or.jp/wp-content/uploads/d2df4c4eec52da61260371148f0c8ad0-770x433.jpg 770w, https://www.sakaiclinic.or.jp/wp-content/uploads/d2df4c4eec52da61260371148f0c8ad0-1000x562.jpg 1000w, https://www.sakaiclinic.or.jp/wp-content/uploads/d2df4c4eec52da61260371148f0c8ad0-768x432.jpg 768w" sizes="(max-width: 1060px) 100vw, 1060px" /></span></p>
</figure>
</div>
<div class="after">
<figure><figcaption>After</figcaption><p><img loading="lazy" src="https://www.sakaiclinic.or.jp/wp-content/uploads/1492881b4d580cadee7157a6a1269fbe.jpeg" alt="" class="alignnone wp-image-4118 size-full" width="1060" height="596" srcset="https://www.sakaiclinic.or.jp/wp-content/uploads/1492881b4d580cadee7157a6a1269fbe.jpeg 1060w, https://www.sakaiclinic.or.jp/wp-content/uploads/1492881b4d580cadee7157a6a1269fbe-770x433.jpeg 770w, https://www.sakaiclinic.or.jp/wp-content/uploads/1492881b4d580cadee7157a6a1269fbe-1000x562.jpeg 1000w, https://www.sakaiclinic.or.jp/wp-content/uploads/1492881b4d580cadee7157a6a1269fbe-768x432.jpeg 768w" sizes="(max-width: 1060px) 100vw, 1060px" /></p>
</figure>
</div>
</div>
</div>
</section>
<figure></figure>
<table class="table01">
<tbody>
<tr>
<th style="text-align: center;"><strong>年齢</strong></th>
<td>治療当時　68歳</td>
</tr>
<tr>
<th style="text-align: center;"><strong>性別</strong></th>
<td>女性</td>
</tr>
<tr>
<th style="text-align: center;"><strong>治療内容</strong></th>
<td>
<p>シンラシステム（噛み合わせ治療）<br />
部分矯正<br />
セラミッククラウン<br />
義歯</p>
</td>
</tr>
<tr>
<th style="text-align: center;"><strong>治療回数<br />
（期間）</strong></th>
<td>
<p>・上記治療内容がすべて終了するまで　約2年　</p>
</td>
</tr>
<tr>
<th style="text-align: center;"><strong>治療費</strong></th>
<td>・シンラシステム　￥275,000（税込）<br />
・部分矯正　　　　￥198,000（税込）<br />
・メタルボンドクラウン　￥91,300　×　13本　＝　￥1,186,900（税込）<br />
・オールセラミッククラウン　￥132,000　×　6本　＝　￥792,000（税込）<br />
・ノンクラスプ義歯　￥242,000（税込）</td>
</tr>
<tr>
<th style="text-align: center;"><strong>リスク</strong></th>
<td>・シンラシステムは、歯周病やむし歯で歯を失い、10年以上かけて変化した噛み合わせ を回復する治療のため、仮の噛み合わせで数カ月かけて経過をみていきます。その間に、 痛みや問題が生じることもあり得ますが、体の変化に合わせて治療のゴールを決めて いきます。<br />
・部分矯正は、歯のスペースが極端に少ない場合は、治療が難しいことがあります。<br />
・セラミッククラウンは、かみ合わせが悪かったり、歯ぎしりが強い方が使用すると欠ける可能性があります。<br />
・義歯は、長期間使用すると、歯がすり減ってしまうことがあります。体重の変化により、ゆるくなることがあります。</td>
</tr>
</tbody>
</table><p>The post <a href="https://www.sakaiclinic.or.jp/news/2844/" target="_blank">【症例紹介】シンラ（噛み合わせ治療）・部分矯正・セラミッククラウン・義歯</a> first appeared on <a href="https://www.sakaiclinic.or.jp/" target="_blank">坂井おとなこども歯科</a>.</p>]]></content:encoded>
					
					<wfw:commentRss>https://www.sakaiclinic.or.jp/news/2844/feed/</wfw:commentRss>
			<slash:comments>0</slash:comments>
		
		
			</item>
		<item>
		<title>【症例紹介】セラミッククラウン・義歯</title>
		<link>https://www.sakaiclinic.or.jp/news/2688/</link>
					<comments>https://www.sakaiclinic.or.jp/news/2688/#respond</comments>
		
		<dc:creator><![CDATA[sakai]]></dc:creator>
		<pubDate>Mon, 27 Feb 2023 06:58:25 +0000</pubDate>
				<category><![CDATA[すべての症例]]></category>
		<category><![CDATA[入れ歯]]></category>
		<category><![CDATA[新着情報]]></category>
		<category><![CDATA[詰め物・被せ物]]></category>
		<guid isPermaLink="false">https://www.sakaiclinic.or.jp/news/2688/</guid>

					<description><![CDATA[<p>Before After Before After 治療時の年齢 55歳 性別 女性 治療内容 セラミッククラウン ノンクラスプ メタルプレート義歯 治療回数 (期間) セラミッククラウン：約 1 ヵ月 ノンクラスプ メ [&#8230;]</p>
<p>The post <a href="https://www.sakaiclinic.or.jp/news/2688/" target="_blank">【症例紹介】セラミッククラウン・義歯</a> first appeared on <a href="https://www.sakaiclinic.or.jp/" target="_blank">坂井おとなこども歯科</a>.</p>]]></description>
										<content:encoded><![CDATA[<section>
<div class="container gutters">
<div class="row bf-af col2">
<div class="before">
<figure><figcaption>Before</figcaption><p><span><img loading="lazy" src="https://www.sakaiclinic.or.jp/wp-content/uploads/ec250560853e100f4477a8dbab8dab12.jpg" alt="" class="alignnone wp-image-2685 size-full" width="1060" height="596" srcset="https://www.sakaiclinic.or.jp/wp-content/uploads/ec250560853e100f4477a8dbab8dab12.jpg 1060w, https://www.sakaiclinic.or.jp/wp-content/uploads/ec250560853e100f4477a8dbab8dab12-770x433.jpg 770w, https://www.sakaiclinic.or.jp/wp-content/uploads/ec250560853e100f4477a8dbab8dab12-1000x562.jpg 1000w, https://www.sakaiclinic.or.jp/wp-content/uploads/ec250560853e100f4477a8dbab8dab12-768x432.jpg 768w" sizes="(max-width: 1060px) 100vw, 1060px" /></span></p>
</figure>
</div>
<div class="after">
<figure><figcaption>After</figcaption><p><img loading="lazy" src="https://www.sakaiclinic.or.jp/wp-content/uploads/3cb1d5057cbfa932fad1e5aa25f16589.jpg" alt="" class="alignnone wp-image-2683 size-full" width="1060" height="596" srcset="https://www.sakaiclinic.or.jp/wp-content/uploads/3cb1d5057cbfa932fad1e5aa25f16589.jpg 1060w, https://www.sakaiclinic.or.jp/wp-content/uploads/3cb1d5057cbfa932fad1e5aa25f16589-770x433.jpg 770w, https://www.sakaiclinic.or.jp/wp-content/uploads/3cb1d5057cbfa932fad1e5aa25f16589-1000x562.jpg 1000w, https://www.sakaiclinic.or.jp/wp-content/uploads/3cb1d5057cbfa932fad1e5aa25f16589-768x432.jpg 768w" sizes="(max-width: 1060px) 100vw, 1060px" /></p>
</figure>
</div>
</div>
</div>
</section>
<section>
<div class="container gutters">
<div class="row bf-af col2">
<div class="before">
<figure><figcaption>Before</figcaption><p><span><img loading="lazy" src="https://www.sakaiclinic.or.jp/wp-content/uploads/ec67ec74966b32e80ee855e9cb23a418.jpg" alt="" class="alignnone wp-image-2684 size-full" width="1060" height="795" srcset="https://www.sakaiclinic.or.jp/wp-content/uploads/ec67ec74966b32e80ee855e9cb23a418.jpg 1060w, https://www.sakaiclinic.or.jp/wp-content/uploads/ec67ec74966b32e80ee855e9cb23a418-770x578.jpg 770w, https://www.sakaiclinic.or.jp/wp-content/uploads/ec67ec74966b32e80ee855e9cb23a418-1000x750.jpg 1000w, https://www.sakaiclinic.or.jp/wp-content/uploads/ec67ec74966b32e80ee855e9cb23a418-768x576.jpg 768w" sizes="(max-width: 1060px) 100vw, 1060px" /></span></p>
</figure>
</div>
<div class="after">
<figure><figcaption>After</figcaption><p><img loading="lazy" src="https://www.sakaiclinic.or.jp/wp-content/uploads/d8b5a32f45fdd27c29f58d5dbc7af1f7.jpg" alt="" class="alignnone wp-image-2682 size-full" width="1060" height="795" srcset="https://www.sakaiclinic.or.jp/wp-content/uploads/d8b5a32f45fdd27c29f58d5dbc7af1f7.jpg 1060w, https://www.sakaiclinic.or.jp/wp-content/uploads/d8b5a32f45fdd27c29f58d5dbc7af1f7-770x578.jpg 770w, https://www.sakaiclinic.or.jp/wp-content/uploads/d8b5a32f45fdd27c29f58d5dbc7af1f7-1000x750.jpg 1000w, https://www.sakaiclinic.or.jp/wp-content/uploads/d8b5a32f45fdd27c29f58d5dbc7af1f7-768x576.jpg 768w" sizes="(max-width: 1060px) 100vw, 1060px" /></p>
</figure>
</div>
</div>
</div>
</section>
<table class="table01">
<tbody>
<tr>
<th style="text-align: center;"><strong>治療時の年齢</strong></th>
<td>
<p>55歳</p>
</td>
</tr>
<tr>
<th style="text-align: center;"><strong>性別</strong></th>
<td>女性</td>
</tr>
<tr>
<th style="text-align: center;"><strong>治療内容</strong></th>
<td>セラミッククラウン<br />
ノンクラスプ メタルプレート義歯</td>
</tr>
<tr>
<th style="text-align: center;"><strong>治療回数<br />
(期間)</strong></th>
<td>セラミッククラウン：約 1 ヵ月<br />
ノンクラスプ メタルプレート義歯：約 2 ヵ月</td>
</tr>
<tr>
<th style="text-align: center;"><strong>治療費</strong></th>
<td>セラミッククラウン：￥132,000（税込）（１本につき）<br />
ノンクラスプ メタルプレート義歯：￥308,000（税込）</td>
</tr>
<tr>
<th style="text-align: center;"><strong>リスク</strong></th>
<td>セラミッククラウンは、咬み合わせが悪かったり、歯ぎしりが強い方が使用すると欠ける可能性があります。<br />
義歯は、長期間使用すると、歯がすり減ってしまうことがあります。体重の変化により、ゆるくなることがあります。</td>
</tr>
</tbody>
</table><p>The post <a href="https://www.sakaiclinic.or.jp/news/2688/" target="_blank">【症例紹介】セラミッククラウン・義歯</a> first appeared on <a href="https://www.sakaiclinic.or.jp/" target="_blank">坂井おとなこども歯科</a>.</p>]]></content:encoded>
					
					<wfw:commentRss>https://www.sakaiclinic.or.jp/news/2688/feed/</wfw:commentRss>
			<slash:comments>0</slash:comments>
		
		
			</item>
		<item>
		<title>【症例紹介】　セラミッククラウン</title>
		<link>https://www.sakaiclinic.or.jp/news/2406/</link>
					<comments>https://www.sakaiclinic.or.jp/news/2406/#respond</comments>
		
		<dc:creator><![CDATA[sakai]]></dc:creator>
		<pubDate>Fri, 18 Nov 2022 02:16:55 +0000</pubDate>
				<category><![CDATA[すべての症例]]></category>
		<category><![CDATA[新着情報]]></category>
		<category><![CDATA[詰め物・被せ物]]></category>
		<guid isPermaLink="false">https://www.sakaiclinic.or.jp/news/2406/</guid>

					<description><![CDATA[<p>Before After 年齢 46歳 性別 女性 治療内容 ジルコボンドクラウン 治療回数 （期間） ３ヵ月 治療費 ￥132,000（税込）×　４ リスク ジルコボンドクラウンは、咬み合わせが悪かったり、歯ぎしりが強 [&#8230;]</p>
<p>The post <a href="https://www.sakaiclinic.or.jp/news/2406/" target="_blank">【症例紹介】　セラミッククラウン</a> first appeared on <a href="https://www.sakaiclinic.or.jp/" target="_blank">坂井おとなこども歯科</a>.</p>]]></description>
										<content:encoded><![CDATA[<section>
<div class="container gutters">
<div class="row bf-af col2">
<div class="before">
<figure><figcaption>Before</figcaption><p><span><img loading="lazy" src="https://www.sakaiclinic.or.jp/wp-content/uploads/634_befor-770x433.jpg" alt="" class="aligncenter wp-image-2409 size-medium" width="770" height="433" srcset="https://www.sakaiclinic.or.jp/wp-content/uploads/634_befor-770x433.jpg 770w, https://www.sakaiclinic.or.jp/wp-content/uploads/634_befor-1000x562.jpg 1000w, https://www.sakaiclinic.or.jp/wp-content/uploads/634_befor-768x432.jpg 768w, https://www.sakaiclinic.or.jp/wp-content/uploads/634_befor.jpg 1097w" sizes="(max-width: 770px) 100vw, 770px" /></span></p>
</figure>
</div>
<div class="after">
<figure><figcaption>After</figcaption><p><img loading="lazy" src="https://www.sakaiclinic.or.jp/wp-content/uploads/634_after-2-770x433.jpg" alt="" class="aligncenter wp-image-2410 size-medium" width="770" height="433" srcset="https://www.sakaiclinic.or.jp/wp-content/uploads/634_after-2-770x433.jpg 770w, https://www.sakaiclinic.or.jp/wp-content/uploads/634_after-2-1000x563.jpg 1000w, https://www.sakaiclinic.or.jp/wp-content/uploads/634_after-2-768x432.jpg 768w, https://www.sakaiclinic.or.jp/wp-content/uploads/634_after-2.jpg 1111w" sizes="(max-width: 770px) 100vw, 770px" /></p>
</figure>
</div>
</div>
</div>
</section>
<table class="table01">
<tbody>
<tr>
<th style="text-align: center;"><strong>年齢</strong></th>
<td>46歳</td>
</tr>
<tr>
<th style="text-align: center;"><strong>性別</strong></th>
<td>女性</td>
</tr>
<tr>
<th style="text-align: center;"><strong>治療内容</strong></th>
<td>ジルコボンドクラウン</td>
</tr>
<tr>
<th style="text-align: center;"><strong>治療回数<br />
（期間）</strong></th>
<td>３ヵ月</td>
</tr>
<tr>
<th style="text-align: center;"><strong>治療費</strong></th>
<td>￥132,000（税込）×　４</td>
</tr>
<tr>
<th style="text-align: center;"><strong>リスク</strong></th>
<td>ジルコボンドクラウンは、咬み合わせが悪かったり、歯ぎしりが強い方が使用すると欠ける可能性があります。</td>
</tr>
</tbody>
</table><p>The post <a href="https://www.sakaiclinic.or.jp/news/2406/" target="_blank">【症例紹介】　セラミッククラウン</a> first appeared on <a href="https://www.sakaiclinic.or.jp/" target="_blank">坂井おとなこども歯科</a>.</p>]]></content:encoded>
					
					<wfw:commentRss>https://www.sakaiclinic.or.jp/news/2406/feed/</wfw:commentRss>
			<slash:comments>0</slash:comments>
		
		
			</item>
		<item>
		<title>【症例紹介】　義歯・セラミッククラウン・シンラ（噛み合わせ治療）</title>
		<link>https://www.sakaiclinic.or.jp/case-blog/934/</link>
					<comments>https://www.sakaiclinic.or.jp/case-blog/934/#respond</comments>
		
		<dc:creator><![CDATA[sakai]]></dc:creator>
		<pubDate>Tue, 31 Aug 2021 02:16:09 +0000</pubDate>
				<category><![CDATA[すべての症例]]></category>
		<category><![CDATA[入れ歯]]></category>
		<category><![CDATA[噛み合わせ治療]]></category>
		<category><![CDATA[詰め物・被せ物]]></category>
		<guid isPermaLink="false">http://www.sakaiclinic.or.jp/news/934/</guid>

					<description><![CDATA[<p>Before After Before After Before After Before After Before After 年齢 61歳 性別 女性 治療内容 来院時、上の前歯がグラグラしており、奥歯も失い、食事が [&#8230;]</p>
<p>The post <a href="https://www.sakaiclinic.or.jp/case-blog/934/" target="_blank">【症例紹介】　義歯・セラミッククラウン・シンラ（噛み合わせ治療）</a> first appeared on <a href="https://www.sakaiclinic.or.jp/" target="_blank">坂井おとなこども歯科</a>.</p>]]></description>
										<content:encoded><![CDATA[<section>
<div class="container gutters">
<div class="row bf-af col2">
<div class="before">
<figure><figcaption>Before</figcaption><p><span><img loading="lazy" src="http://www.sakaiclinic.or.jp/wp-content/uploads/1-23-770x433.jpg" alt="" class="alignnone wp-image-1238 size-medium" width="770" height="433" srcset="https://www.sakaiclinic.or.jp/wp-content/uploads/1-23-770x433.jpg 770w, https://www.sakaiclinic.or.jp/wp-content/uploads/1-23-1000x562.jpg 1000w, https://www.sakaiclinic.or.jp/wp-content/uploads/1-23-768x432.jpg 768w, https://www.sakaiclinic.or.jp/wp-content/uploads/1-23.jpg 1119w" sizes="(max-width: 770px) 100vw, 770px" /></span></p>
</figure>
</div>
<div class="after">
<figure><figcaption>After</figcaption><p><img loading="lazy" src="http://www.sakaiclinic.or.jp/wp-content/uploads/2-21-770x433.jpg" alt="" class="alignnone wp-image-1239 size-medium" width="770" height="433" srcset="https://www.sakaiclinic.or.jp/wp-content/uploads/2-21-770x433.jpg 770w, https://www.sakaiclinic.or.jp/wp-content/uploads/2-21-1000x562.jpg 1000w, https://www.sakaiclinic.or.jp/wp-content/uploads/2-21-768x432.jpg 768w, https://www.sakaiclinic.or.jp/wp-content/uploads/2-21.jpg 1355w" sizes="(max-width: 770px) 100vw, 770px" /></p>
</figure>
</div>
</div>
</div>
</section>
<section>
<div class="container gutters">
<div class="row bf-af col2">
<div class="before">
<figure><figcaption>Before</figcaption><p><span><img loading="lazy" src="http://www.sakaiclinic.or.jp/wp-content/uploads/5-7.jpg" alt="" class="alignnone wp-image-1242 size-full" width="548" height="308" /></span></p>
</figure>
</div>
<div class="after">
<figure><figcaption>After</figcaption><p><img loading="lazy" src="http://www.sakaiclinic.or.jp/wp-content/uploads/6-9.jpg" alt="" class="alignnone wp-image-1243 size-full" width="610" height="343" /></p>
</figure>
</div>
</div>
</div>
</section>
<section>
<div class="container gutters">
<div class="row bf-af col2">
<div class="before">
<figure><figcaption>Before</figcaption><p><span><img loading="lazy" src="http://www.sakaiclinic.or.jp/wp-content/uploads/3-11-770x433.jpg" alt="" class="alignnone wp-image-1240 size-medium" width="770" height="433" srcset="https://www.sakaiclinic.or.jp/wp-content/uploads/3-11-770x433.jpg 770w, https://www.sakaiclinic.or.jp/wp-content/uploads/3-11-1000x563.jpg 1000w, https://www.sakaiclinic.or.jp/wp-content/uploads/3-11-768x432.jpg 768w, https://www.sakaiclinic.or.jp/wp-content/uploads/3-11.jpg 1120w" sizes="(max-width: 770px) 100vw, 770px" /></span></p>
</figure>
</div>
<div class="after">
<figure><figcaption>After</figcaption><p><img loading="lazy" src="http://www.sakaiclinic.or.jp/wp-content/uploads/4-11-770x433.jpg" alt="" class="alignnone wp-image-1241 size-medium" width="770" height="433" srcset="https://www.sakaiclinic.or.jp/wp-content/uploads/4-11-770x433.jpg 770w, https://www.sakaiclinic.or.jp/wp-content/uploads/4-11-1000x563.jpg 1000w, https://www.sakaiclinic.or.jp/wp-content/uploads/4-11-768x432.jpg 768w, https://www.sakaiclinic.or.jp/wp-content/uploads/4-11.jpg 1264w" sizes="(max-width: 770px) 100vw, 770px" /></p>
</figure>
</div>
</div>
</div>
</section>
<section>
<div class="container gutters">
<div class="row bf-af col2">
<div class="before">
<figure><figcaption>Before</figcaption><p><span><img loading="lazy" src="http://www.sakaiclinic.or.jp/wp-content/uploads/7-1.jpg" alt="" class="alignnone wp-image-1244 size-full" width="718" height="403" /></span></p>
</figure>
</div>
<div class="after">
<figure><figcaption>After</figcaption><p><img loading="lazy" src="http://www.sakaiclinic.or.jp/wp-content/uploads/8-1.jpg" alt="" class="alignnone wp-image-1245 size-full" width="770" height="433" srcset="https://www.sakaiclinic.or.jp/wp-content/uploads/8-1.jpg 770w, https://www.sakaiclinic.or.jp/wp-content/uploads/8-1-768x432.jpg 768w" sizes="(max-width: 770px) 100vw, 770px" /></p>
</figure>
</div>
</div>
</div>
</section>
<section>
<div class="container gutters">
<div class="row bf-af col2">
<div class="before">
<figure><figcaption>Before</figcaption><p><span><img loading="lazy" src="http://www.sakaiclinic.or.jp/wp-content/uploads/9-1.jpg" alt="" class="alignnone wp-image-1246 size-full" width="770" height="433" srcset="https://www.sakaiclinic.or.jp/wp-content/uploads/9-1.jpg 770w, https://www.sakaiclinic.or.jp/wp-content/uploads/9-1-768x432.jpg 768w" sizes="(max-width: 770px) 100vw, 770px" /></span></p>
</figure>
</div>
<div class="after">
<figure><figcaption>After</figcaption><p><img loading="lazy" src="http://www.sakaiclinic.or.jp/wp-content/uploads/10-1.jpg" alt="" class="alignnone wp-image-1247 size-full" width="770" height="433" srcset="https://www.sakaiclinic.or.jp/wp-content/uploads/10-1.jpg 770w, https://www.sakaiclinic.or.jp/wp-content/uploads/10-1-768x432.jpg 768w" sizes="(max-width: 770px) 100vw, 770px" /></p>
</figure>
</div>
</div>
</div>
</section>
<table class="table01">
<tbody>
<tr>
<th style="text-align: center;"><strong>年齢</strong></th>
<td>61歳</td>
</tr>
<tr>
<th style="text-align: center;"><strong>性別</strong></th>
<td>女性</td>
</tr>
<tr>
<th style="text-align: center;"><strong>治療内容</strong></th>
<td>
<p>来院時、上の前歯がグラグラしており、奥歯も失い、食事がしにくい状態でした。多数の歯を失われ、咬み合わせも大きく変化しており、どこが正しい咬み合わせなのかを調べる検査を行い、ゴールを決めました。（シンラシステム）</p>
<p>保存不可能な歯は抜歯もしましたが、可能な限り、ご自身の歯を残して治療を行いました。治療後は、メインテナンスを継続されており、この状態を維持されています。</p>
<p>・全顎　シンラシステム <br />
・上顎　コバルトクロム床（ノンクラスプ）、メタルボンドクラウン<br />
・下顎　ジルコボンドクラウン</p>
</td>
</tr>
<tr>
<th style="text-align: center;"><strong>治療回数（期間）</strong></th>
<td>・シンラシステム　6ヶ月程度 <br />
・コバルトクロム床　　4～6回 <br />
・メタルボンドクラウン　2回 <br />
・ジルコボンドクラウン　2回</td>
</tr>
<tr>
<th style="text-align: center;"><strong>治療費</strong></th>
<td>・シンラシステム　￥275,000（税込）<br />
・コバルトクロム床　￥308,000（税込）<br />
・メタルボンドクラウン　￥91,300（税込）×4本<br />
・ジルコボンドクラウン　￥132,000（税込）×12本</td>
</tr>
<tr>
<th style="text-align: center;"><strong>リスク</strong></th>
<td>・シンラシステムは、歯周病やむし歯で歯を失い、10年以上かけて変化した噛み合わせ を回復する治療のため、仮の噛み合わせで数カ月かけて経過をみていきます。その間に、 痛みや問題が生じることもあり得ますが、体の変化に合わせて治療のゴールを決めて いきます。<br />
・セラミックは、歯ぎしりの強い方や咬み合わせが悪かったりすると、欠けることがあり ます。<br />
・義歯は、バネがかかる歯に汚れが付着しやすいので、注意が必要です。</td>
</tr>
</tbody>
</table><p>The post <a href="https://www.sakaiclinic.or.jp/case-blog/934/" target="_blank">【症例紹介】　義歯・セラミッククラウン・シンラ（噛み合わせ治療）</a> first appeared on <a href="https://www.sakaiclinic.or.jp/" target="_blank">坂井おとなこども歯科</a>.</p>]]></content:encoded>
					
					<wfw:commentRss>https://www.sakaiclinic.or.jp/case-blog/934/feed/</wfw:commentRss>
			<slash:comments>0</slash:comments>
		
		
			</item>
		<item>
		<title>【症例紹介】　セラミックブリッジ</title>
		<link>https://www.sakaiclinic.or.jp/case-blog/885/</link>
					<comments>https://www.sakaiclinic.or.jp/case-blog/885/#respond</comments>
		
		<dc:creator><![CDATA[sakai]]></dc:creator>
		<pubDate>Tue, 31 Aug 2021 01:29:23 +0000</pubDate>
				<category><![CDATA[すべての症例]]></category>
		<category><![CDATA[詰め物・被せ物]]></category>
		<guid isPermaLink="false">http://www.sakaiclinic.or.jp/news/885/</guid>

					<description><![CDATA[<p>Before After 年齢 70歳 性別 女性 治療内容 ジルコニアクラウン 歯周病の治療後、保存が困難にて上の前歯2本は抜歯となりました。当初はグラつきもあり頼りなかった周囲の歯は、健康を取り戻し、ブリッジでの対応 [&#8230;]</p>
<p>The post <a href="https://www.sakaiclinic.or.jp/case-blog/885/" target="_blank">【症例紹介】　セラミックブリッジ</a> first appeared on <a href="https://www.sakaiclinic.or.jp/" target="_blank">坂井おとなこども歯科</a>.</p>]]></description>
										<content:encoded><![CDATA[<section>
<div class="container gutters">
<div class="row bf-af col2">
<div class="before">
<figure><figcaption>Before</figcaption><p><span><img loading="lazy" src="https://www.sakaiclinic.or.jp/wp-content/uploads/1-14-1.jpg" alt="" class="alignnone wp-image-1813 size-full" width="561" height="317" /></span></p>
</figure>
</div>
<div class="after">
<figure><figcaption>After</figcaption><p><img loading="lazy" src="https://www.sakaiclinic.or.jp/wp-content/uploads/2-12-1.jpg" alt="" class="alignnone wp-image-1814 size-full" width="636" height="360" /></p>
</figure>
</div>
</div>
</div>
</section>
<table class="table01">
<tbody>
<tr>
<th style="text-align: center;"><strong>年齢</strong></th>
<td>70歳</td>
</tr>
<tr>
<th style="text-align: center;"><strong>性別</strong></th>
<td>女性</td>
</tr>
<tr>
<th style="text-align: center;"><strong>治療内容</strong></th>
<td>ジルコニアクラウン<br />
歯周病の治療後、保存が困難にて上の前歯2本は抜歯となりました。当初はグラつきもあり頼りなかった周囲の歯は、健康を取り戻し、ブリッジでの対応が 可能となりました。</td>
</tr>
<tr>
<th style="text-align: center;"><strong>治療回数（期間）</strong></th>
<td>2回</td>
</tr>
<tr>
<th style="text-align: center;"><strong>治療費</strong></th>
<td>￥74,800（税込）×　6</td>
</tr>
<tr>
<th style="text-align: center;"><strong>リスク</strong></th>
<td>ジルコニアクラウンは、他のセラミックに比べると色の種類が少ないです。咬み合わせが悪い場合や歯ぎしりがある場合は、破折する可能性があります。</td>
</tr>
</tbody>
</table><p>The post <a href="https://www.sakaiclinic.or.jp/case-blog/885/" target="_blank">【症例紹介】　セラミックブリッジ</a> first appeared on <a href="https://www.sakaiclinic.or.jp/" target="_blank">坂井おとなこども歯科</a>.</p>]]></content:encoded>
					
					<wfw:commentRss>https://www.sakaiclinic.or.jp/case-blog/885/feed/</wfw:commentRss>
			<slash:comments>0</slash:comments>
		
		
			</item>
		<item>
		<title>【症例紹介】部分矯正＋セラミッククラウン</title>
		<link>https://www.sakaiclinic.or.jp/case-blog/879/</link>
					<comments>https://www.sakaiclinic.or.jp/case-blog/879/#respond</comments>
		
		<dc:creator><![CDATA[sakai]]></dc:creator>
		<pubDate>Tue, 31 Aug 2021 01:26:04 +0000</pubDate>
				<category><![CDATA[すべての症例]]></category>
		<category><![CDATA[詰め物・被せ物]]></category>
		<guid isPermaLink="false">http://www.sakaiclinic.or.jp/news/879/</guid>

					<description><![CDATA[<p>Before After 年齢 63歳 性別 男性 治療内容 ・部分矯正 ・e-maxクラウン 治療回数（期間） ・部分矯正　4ヶ月程度 ・e-maxクラウン　2回 治療費 ・部分矯正　￥297,000（税込） ・e-m [&#8230;]</p>
<p>The post <a href="https://www.sakaiclinic.or.jp/case-blog/879/" target="_blank">【症例紹介】部分矯正＋セラミッククラウン</a> first appeared on <a href="https://www.sakaiclinic.or.jp/" target="_blank">坂井おとなこども歯科</a>.</p>]]></description>
										<content:encoded><![CDATA[<section>
<div class="container gutters">
<div class="row bf-af col2">
<div class="before">
<figure><figcaption>Before</figcaption><p><span><img loading="lazy" src="https://www.sakaiclinic.or.jp/wp-content/uploads/1-16-1.jpg" alt="" class="alignnone wp-image-1816 size-full" width="652" height="369" /></span></p>
</figure>
</div>
<div class="after">
<figure><figcaption>After</figcaption><p><img loading="lazy" src="https://www.sakaiclinic.or.jp/wp-content/uploads/2-14-1.jpg" alt="" class="alignnone wp-image-1817 size-full" width="637" height="360" /></p>
</figure>
</div>
</div>
</div>
</section>
<table class="table01">
<tbody>
<tr>
<th style="text-align: center;"><strong>年齢</strong></th>
<td>63歳</td>
</tr>
<tr>
<th style="text-align: center;"><strong>性別</strong></th>
<td>男性</td>
</tr>
<tr>
<th style="text-align: center;"><strong>治療内容</strong></th>
<td>・部分矯正 <br />
・e-maxクラウン</td>
</tr>
<tr>
<th style="text-align: center;"><strong>治療回数（期間）</strong></th>
<td>・部分矯正　4ヶ月程度<br />
・e-maxクラウン　2回</td>
</tr>
<tr>
<th style="text-align: center;"><strong>治療費</strong></th>
<td>・部分矯正　￥297,000（税込）<br />
・e-maxクラウン　￥132,000（税込）×2本</td>
</tr>
<tr>
<th style="text-align: center;"><strong>リスク</strong></th>
<td>e-maxは、噛み合わせが悪かったり、歯ぎしりが強い方が使用すると欠ける可能性があります。<br />
部分矯正は、歯のスペースが極端に少ない場合は治療が難しいことがあります。</td>
</tr>
</tbody>
</table><p>The post <a href="https://www.sakaiclinic.or.jp/case-blog/879/" target="_blank">【症例紹介】部分矯正＋セラミッククラウン</a> first appeared on <a href="https://www.sakaiclinic.or.jp/" target="_blank">坂井おとなこども歯科</a>.</p>]]></content:encoded>
					
					<wfw:commentRss>https://www.sakaiclinic.or.jp/case-blog/879/feed/</wfw:commentRss>
			<slash:comments>0</slash:comments>
		
		
			</item>
		<item>
		<title>【症例紹介】　ホームホワイトニング＋セラミッククラウン</title>
		<link>https://www.sakaiclinic.or.jp/case-blog/874/</link>
					<comments>https://www.sakaiclinic.or.jp/case-blog/874/#respond</comments>
		
		<dc:creator><![CDATA[sakai]]></dc:creator>
		<pubDate>Tue, 31 Aug 2021 01:19:45 +0000</pubDate>
				<category><![CDATA[すべての症例]]></category>
		<category><![CDATA[ホワイトニング]]></category>
		<category><![CDATA[詰め物・被せ物]]></category>
		<guid isPermaLink="false">http://www.sakaiclinic.or.jp/news/874/</guid>

					<description><![CDATA[<p>Before After 年齢 73歳 性別 女性 治療内容 ・ホワイトニング ・ジルコボンドクラウン 昔かぶせた上の前歯（メタルボンドクラウン）の根本が黒くなり、やり替え希望で来院。ご自身の歯もホワイトニングし、白くし [&#8230;]</p>
<p>The post <a href="https://www.sakaiclinic.or.jp/case-blog/874/" target="_blank">【症例紹介】　ホームホワイトニング＋セラミッククラウン</a> first appeared on <a href="https://www.sakaiclinic.or.jp/" target="_blank">坂井おとなこども歯科</a>.</p>]]></description>
										<content:encoded><![CDATA[<section>
<div class="container gutters">
<div class="row bf-af col2">
<div class="before">
<figure><figcaption>Before</figcaption><p><span><img loading="lazy" src="https://www.sakaiclinic.or.jp/wp-content/uploads/1-17-1.jpg" alt="" class="alignnone wp-image-1819 size-full" width="735" height="416" /></span></p>
</figure>
</div>
<div class="after">
<figure><figcaption>After</figcaption><p><img loading="lazy" src="https://www.sakaiclinic.or.jp/wp-content/uploads/2-15-1.jpg" alt="" class="alignnone wp-image-1820 size-full" width="743" height="420" /></p>
</figure>
</div>
</div>
</div>
</section>
<table class="table01">
<tbody>
<tr>
<th style="text-align: center;"><strong>年齢</strong></th>
<td>73歳</td>
</tr>
<tr>
<th style="text-align: center;"><strong>性別</strong></th>
<td>女性</td>
</tr>
<tr>
<th style="text-align: center;"><strong>治療内容</strong></th>
<td>
<p>・ホワイトニング<br />
・ジルコボンドクラウン</p>
<p>昔かぶせた上の前歯（メタルボンドクラウン）の根本が黒くなり、やり替え希望で来院。ご自身の歯もホワイトニングし、白くしてから、それに合わせて右上2・左上2・3にジルコボンドクラウンを入れました。</p>
</td>
</tr>
<tr>
<th style="text-align: center;"><strong>治療回数（期間）</strong></th>
<td>・ホワイト二ング　2週間<br />
・ジルコボンドクラウン　2回</td>
</tr>
<tr>
<th style="text-align: center;"><strong>治療費</strong></th>
<td>・ホワイトニング　<span>38,500</span>円（税込）<br />
・ジルコボンドクラウン　132,000円（税込）×3</td>
</tr>
<tr>
<th style="text-align: center;"><strong>リスク</strong></th>
<td>ホワイトニング：人によって、知覚過敏の症状が出ることがあります。<br />
ジルコボンドクラウン：咬み合わせが悪い方や歯ぎしりの強い方は破折する可能性があります。神経のある歯を削る場合は神経へダメージを与える可能性があるので、低年齢の方は特に注意が必要です。</td>
</tr>
</tbody>
</table><p>The post <a href="https://www.sakaiclinic.or.jp/case-blog/874/" target="_blank">【症例紹介】　ホームホワイトニング＋セラミッククラウン</a> first appeared on <a href="https://www.sakaiclinic.or.jp/" target="_blank">坂井おとなこども歯科</a>.</p>]]></content:encoded>
					
					<wfw:commentRss>https://www.sakaiclinic.or.jp/case-blog/874/feed/</wfw:commentRss>
			<slash:comments>0</slash:comments>
		
		
			</item>
	</channel>
</rss>
