<?xml version="1.0" encoding="UTF-8"?><rss version="2.0"
	xmlns:content="http://purl.org/rss/1.0/modules/content/"
	xmlns:wfw="http://wellformedweb.org/CommentAPI/"
	xmlns:dc="http://purl.org/dc/elements/1.1/"
	xmlns:atom="http://www.w3.org/2005/Atom"
	xmlns:sy="http://purl.org/rss/1.0/modules/syndication/"
	xmlns:slash="http://purl.org/rss/1.0/modules/slash/"
	>

<channel>
	<title>マウスピース矯正 &#8211; 坂井おとなこども歯科</title>
	<atom:link href="https://www.sakaiclinic.or.jp/case-blog/%E3%83%9E%E3%82%A6%E3%82%B9%E3%83%94%E3%83%BC%E3%82%B9%E7%9F%AF%E6%AD%A3/feed/" rel="self" type="application/rss+xml" />
	<link>https://www.sakaiclinic.or.jp</link>
	<description></description>
	<lastBuildDate>Mon, 13 Mar 2023 05:28:45 +0000</lastBuildDate>
	<language>ja</language>
	<sy:updatePeriod>
	hourly	</sy:updatePeriod>
	<sy:updateFrequency>
	1	</sy:updateFrequency>
	<generator>https://wordpress.org/?v=5.5.18</generator>

<image>
	<url>https://www.sakaiclinic.or.jp/wp-content/uploads/cropped-favicon-32x32.png</url>
	<title>マウスピース矯正 &#8211; 坂井おとなこども歯科</title>
	<link>https://www.sakaiclinic.or.jp</link>
	<width>32</width>
	<height>32</height>
</image> 
	<item>
		<title>【症例紹介】マウスピース矯正-3-（インビザラインGO）〈交叉咬合〉</title>
		<link>https://www.sakaiclinic.or.jp/news/2744/</link>
					<comments>https://www.sakaiclinic.or.jp/news/2744/#respond</comments>
		
		<dc:creator><![CDATA[sakai]]></dc:creator>
		<pubDate>Mon, 13 Mar 2023 05:26:06 +0000</pubDate>
				<category><![CDATA[すべての症例]]></category>
		<category><![CDATA[マウスピース矯正]]></category>
		<category><![CDATA[新着情報]]></category>
		<guid isPermaLink="false">https://www.sakaiclinic.or.jp/news/2744/</guid>

					<description><![CDATA[<p>Before After Before After Before After 年齢 47歳 性別 女性 治療内容 インビザラインGOによる、交叉咬合の治療 治療回数 （期間） 約半年間 治療費 418,000円（税込）  [&#8230;]</p>
<p>The post <a href="https://www.sakaiclinic.or.jp/news/2744/" target="_blank">【症例紹介】マウスピース矯正-3-（インビザラインGO）〈交叉咬合〉</a> first appeared on <a href="https://www.sakaiclinic.or.jp/" target="_blank">坂井おとなこども歯科</a>.</p>]]></description>
										<content:encoded><![CDATA[<section>
<div class="container gutters">
<div class="row bf-af col2">
<div class="before">
<figure><figcaption>Before</figcaption><p><span><img loading="lazy" src="https://www.sakaiclinic.or.jp/wp-content/uploads/ac8f88d6.jpg" alt="" class="alignnone wp-image-2745 size-full" width="1060" height="596" srcset="https://www.sakaiclinic.or.jp/wp-content/uploads/ac8f88d6.jpg 1060w, https://www.sakaiclinic.or.jp/wp-content/uploads/ac8f88d6-770x433.jpg 770w, https://www.sakaiclinic.or.jp/wp-content/uploads/ac8f88d6-1000x562.jpg 1000w, https://www.sakaiclinic.or.jp/wp-content/uploads/ac8f88d6-768x432.jpg 768w" sizes="(max-width: 1060px) 100vw, 1060px" /></span></p>
</figure>
</div>
<div class="after">
<figure><figcaption>After</figcaption><p><img loading="lazy" src="https://www.sakaiclinic.or.jp/wp-content/uploads/359f7027.jpg" alt="" class="alignnone wp-image-2746 size-full" width="1060" height="596" srcset="https://www.sakaiclinic.or.jp/wp-content/uploads/359f7027.jpg 1060w, https://www.sakaiclinic.or.jp/wp-content/uploads/359f7027-770x433.jpg 770w, https://www.sakaiclinic.or.jp/wp-content/uploads/359f7027-1000x562.jpg 1000w, https://www.sakaiclinic.or.jp/wp-content/uploads/359f7027-768x432.jpg 768w" sizes="(max-width: 1060px) 100vw, 1060px" /></p>
</figure>
</div>
</div>
</div>
</section>
<section>
<div class="container gutters">
<div class="row bf-af col2">
<div class="before">
<figure><figcaption>Before</figcaption><p><span><img loading="lazy" src="https://www.sakaiclinic.or.jp/wp-content/uploads/34b548ef.jpg" alt="" class="alignnone wp-image-2747 size-full" width="1060" height="596" srcset="https://www.sakaiclinic.or.jp/wp-content/uploads/34b548ef.jpg 1060w, https://www.sakaiclinic.or.jp/wp-content/uploads/34b548ef-770x433.jpg 770w, https://www.sakaiclinic.or.jp/wp-content/uploads/34b548ef-1000x562.jpg 1000w, https://www.sakaiclinic.or.jp/wp-content/uploads/34b548ef-768x432.jpg 768w" sizes="(max-width: 1060px) 100vw, 1060px" /></span></p>
</figure>
</div>
<div class="after">
<figure><figcaption>After</figcaption><p><img loading="lazy" src="https://www.sakaiclinic.or.jp/wp-content/uploads/5ec3170a.jpg" alt="" class="alignnone wp-image-2749 size-full" width="1060" height="596" srcset="https://www.sakaiclinic.or.jp/wp-content/uploads/5ec3170a.jpg 1060w, https://www.sakaiclinic.or.jp/wp-content/uploads/5ec3170a-770x433.jpg 770w, https://www.sakaiclinic.or.jp/wp-content/uploads/5ec3170a-1000x562.jpg 1000w, https://www.sakaiclinic.or.jp/wp-content/uploads/5ec3170a-768x432.jpg 768w" sizes="(max-width: 1060px) 100vw, 1060px" /></p>
</figure>
</div>
</div>
</div>
</section>
<section>
<div class="container gutters">
<div class="row bf-af col2">
<div class="before">
<figure><figcaption>Before</figcaption><p><span><img loading="lazy" src="https://www.sakaiclinic.or.jp/wp-content/uploads/2c773efe.jpg" alt="" class="alignnone wp-image-2750 size-full" width="1060" height="596" srcset="https://www.sakaiclinic.or.jp/wp-content/uploads/2c773efe.jpg 1060w, https://www.sakaiclinic.or.jp/wp-content/uploads/2c773efe-770x433.jpg 770w, https://www.sakaiclinic.or.jp/wp-content/uploads/2c773efe-1000x562.jpg 1000w, https://www.sakaiclinic.or.jp/wp-content/uploads/2c773efe-768x432.jpg 768w" sizes="(max-width: 1060px) 100vw, 1060px" /></span></p>
</figure>
</div>
<div class="after">
<figure><figcaption>After</figcaption><p><img loading="lazy" src="https://www.sakaiclinic.or.jp/wp-content/uploads/ce52a5c9.jpg" alt="" class="alignnone wp-image-2751 size-full" width="1060" height="596" srcset="https://www.sakaiclinic.or.jp/wp-content/uploads/ce52a5c9.jpg 1060w, https://www.sakaiclinic.or.jp/wp-content/uploads/ce52a5c9-770x433.jpg 770w, https://www.sakaiclinic.or.jp/wp-content/uploads/ce52a5c9-1000x562.jpg 1000w, https://www.sakaiclinic.or.jp/wp-content/uploads/ce52a5c9-768x432.jpg 768w" sizes="(max-width: 1060px) 100vw, 1060px" /></p>
</figure>
</div>
</div>
</div>
</section>
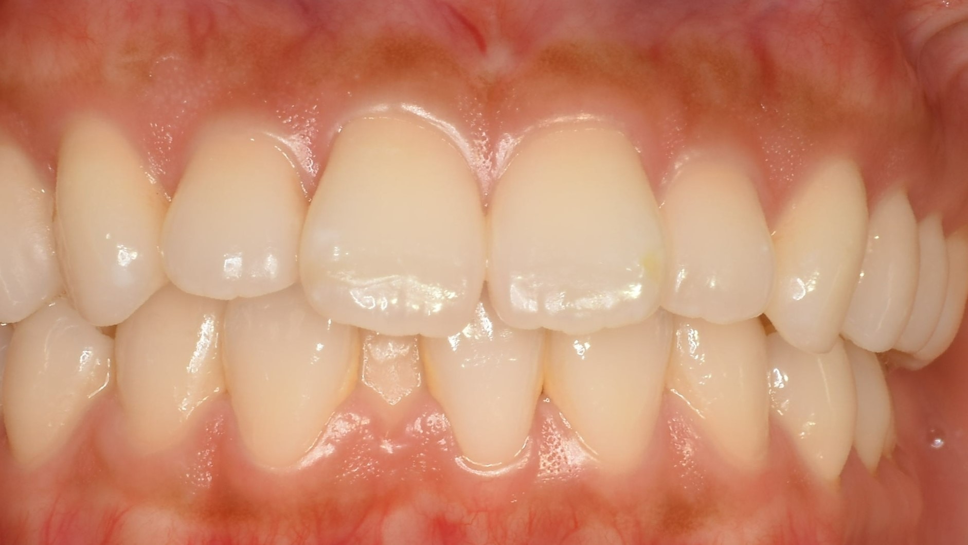
<table class="table01">
<tbody>
<tr>
<th style="text-align: center;"><strong>年齢</strong></th>
<td>47歳</td>
</tr>
<tr>
<th style="text-align: center;"><strong>性別</strong></th>
<td>女性</td>
</tr>
<tr>
<th style="text-align: center;"><strong>治療内容</strong></th>
<td>インビザラインGOによる、交叉咬合の治療</td>
</tr>
<tr>
<th style="text-align: center;"><strong>治療回数<br />
（期間）</strong></th>
<td>約半年間</td>
</tr>
<tr>
<th style="text-align: center;"><strong>治療費</strong></th>
<td>418,000円（税込）</td>
</tr>
<tr>
<th style="text-align: center;"><strong>リスク</strong></th>
<td>取り外し可能な装置の為、治療の効果が使用頻度に左右されます。</td>
</tr>
</tbody>
</table><p>The post <a href="https://www.sakaiclinic.or.jp/news/2744/" target="_blank">【症例紹介】マウスピース矯正-3-（インビザラインGO）〈交叉咬合〉</a> first appeared on <a href="https://www.sakaiclinic.or.jp/" target="_blank">坂井おとなこども歯科</a>.</p>]]></content:encoded>
					
					<wfw:commentRss>https://www.sakaiclinic.or.jp/news/2744/feed/</wfw:commentRss>
			<slash:comments>0</slash:comments>
		
		
			</item>
		<item>
		<title>【症例紹介】マウスピース矯正-2-（インビザラインGO）＜叢生＞</title>
		<link>https://www.sakaiclinic.or.jp/news/2737/</link>
					<comments>https://www.sakaiclinic.or.jp/news/2737/#respond</comments>
		
		<dc:creator><![CDATA[sakai]]></dc:creator>
		<pubDate>Mon, 13 Mar 2023 05:21:02 +0000</pubDate>
				<category><![CDATA[すべての症例]]></category>
		<category><![CDATA[マウスピース矯正]]></category>
		<category><![CDATA[新着情報]]></category>
		<guid isPermaLink="false">https://www.sakaiclinic.or.jp/news/2737/</guid>

					<description><![CDATA[<p>Before After Before After 治療時の年齢 29歳 性別 女性 治療内容 インビザラインGOによる、叢生の治療 治療回数 (期間) 約10か月間 治療費 ￥418,000（税込） リスク 取り外し可 [&#8230;]</p>
<p>The post <a href="https://www.sakaiclinic.or.jp/news/2737/" target="_blank">【症例紹介】マウスピース矯正-2-（インビザラインGO）＜叢生＞</a> first appeared on <a href="https://www.sakaiclinic.or.jp/" target="_blank">坂井おとなこども歯科</a>.</p>]]></description>
										<content:encoded><![CDATA[<section>
<div class="container gutters">
<div class="row bf-af col2">
<div class="before">
<figure><figcaption>Before</figcaption><p><span><img loading="lazy" src="https://www.sakaiclinic.or.jp/wp-content/uploads/97da23fd514c1f9dc6879fcf31e6d013.jpg" alt="" class="alignnone wp-image-2741 size-full" width="1882" height="1059" srcset="https://www.sakaiclinic.or.jp/wp-content/uploads/97da23fd514c1f9dc6879fcf31e6d013.jpg 1882w, https://www.sakaiclinic.or.jp/wp-content/uploads/97da23fd514c1f9dc6879fcf31e6d013-770x433.jpg 770w, https://www.sakaiclinic.or.jp/wp-content/uploads/97da23fd514c1f9dc6879fcf31e6d013-1000x563.jpg 1000w, https://www.sakaiclinic.or.jp/wp-content/uploads/97da23fd514c1f9dc6879fcf31e6d013-768x432.jpg 768w, https://www.sakaiclinic.or.jp/wp-content/uploads/97da23fd514c1f9dc6879fcf31e6d013-1536x864.jpg 1536w" sizes="(max-width: 1882px) 100vw, 1882px" /></span></p>
</figure>
</div>
<div class="after">
<figure><figcaption>After</figcaption><p><img loading="lazy" src="https://www.sakaiclinic.or.jp/wp-content/uploads/221aba42db5732f6899a20e42b482cbc.jpg" alt="" class="alignnone wp-image-2739 size-full" width="1879" height="1054" srcset="https://www.sakaiclinic.or.jp/wp-content/uploads/221aba42db5732f6899a20e42b482cbc.jpg 1879w, https://www.sakaiclinic.or.jp/wp-content/uploads/221aba42db5732f6899a20e42b482cbc-770x432.jpg 770w, https://www.sakaiclinic.or.jp/wp-content/uploads/221aba42db5732f6899a20e42b482cbc-1000x561.jpg 1000w, https://www.sakaiclinic.or.jp/wp-content/uploads/221aba42db5732f6899a20e42b482cbc-768x431.jpg 768w, https://www.sakaiclinic.or.jp/wp-content/uploads/221aba42db5732f6899a20e42b482cbc-1536x862.jpg 1536w" sizes="(max-width: 1879px) 100vw, 1879px" /></p>
</figure>
</div>
</div>
</div>
</section>
<section>
<div class="container gutters">
<div class="row bf-af col2">
<div class="before">
<figure><figcaption>Before</figcaption><p><span><img loading="lazy" src="https://www.sakaiclinic.or.jp/wp-content/uploads/7eb4041181606878668afebbc95d93b4.jpg" alt="" class="alignnone wp-image-2740 size-full" width="2032" height="1143" srcset="https://www.sakaiclinic.or.jp/wp-content/uploads/7eb4041181606878668afebbc95d93b4.jpg 2032w, https://www.sakaiclinic.or.jp/wp-content/uploads/7eb4041181606878668afebbc95d93b4-770x433.jpg 770w, https://www.sakaiclinic.or.jp/wp-content/uploads/7eb4041181606878668afebbc95d93b4-1000x563.jpg 1000w, https://www.sakaiclinic.or.jp/wp-content/uploads/7eb4041181606878668afebbc95d93b4-768x432.jpg 768w, https://www.sakaiclinic.or.jp/wp-content/uploads/7eb4041181606878668afebbc95d93b4-1536x864.jpg 1536w" sizes="(max-width: 2032px) 100vw, 2032px" /></span></p>
</figure>
</div>
<div class="after">
<figure><figcaption>After</figcaption><p><img loading="lazy" src="https://www.sakaiclinic.or.jp/wp-content/uploads/e356266aa47ddcf377a67415602ef076.jpg" alt="" class="alignnone wp-image-2738 size-full" width="1847" height="1039" srcset="https://www.sakaiclinic.or.jp/wp-content/uploads/e356266aa47ddcf377a67415602ef076.jpg 1847w, https://www.sakaiclinic.or.jp/wp-content/uploads/e356266aa47ddcf377a67415602ef076-770x433.jpg 770w, https://www.sakaiclinic.or.jp/wp-content/uploads/e356266aa47ddcf377a67415602ef076-1000x563.jpg 1000w, https://www.sakaiclinic.or.jp/wp-content/uploads/e356266aa47ddcf377a67415602ef076-768x432.jpg 768w, https://www.sakaiclinic.or.jp/wp-content/uploads/e356266aa47ddcf377a67415602ef076-1536x864.jpg 1536w" sizes="(max-width: 1847px) 100vw, 1847px" /></p>
</figure>
</div>
</div>
</div>
</section>
<table class="table01">
<tbody>
<tr>
<th style="text-align: center;"><strong>治療時の年齢</strong></th>
<td>
<p>29歳</p>
</td>
</tr>
<tr>
<th style="text-align: center;"><strong>性別</strong></th>
<td>女性</td>
</tr>
<tr>
<th style="text-align: center;"><strong>治療内容</strong></th>
<td>
<p>インビザラインGOによる、叢生の治療</p>
</td>
</tr>
<tr>
<th style="text-align: center;"><strong>治療回数<br />
(期間)</strong></th>
<td>約10か月間</td>
</tr>
<tr>
<th style="text-align: center;"><strong>治療費</strong></th>
<td>￥418,000（税込）</td>
</tr>
<tr>
<th style="text-align: center;"><strong>リスク</strong></th>
<td><span>取り外し可能な装置の為、治療の効果が使用頻度に左右されます。</span></td>
</tr>
</tbody>
</table><p>The post <a href="https://www.sakaiclinic.or.jp/news/2737/" target="_blank">【症例紹介】マウスピース矯正-2-（インビザラインGO）＜叢生＞</a> first appeared on <a href="https://www.sakaiclinic.or.jp/" target="_blank">坂井おとなこども歯科</a>.</p>]]></content:encoded>
					
					<wfw:commentRss>https://www.sakaiclinic.or.jp/news/2737/feed/</wfw:commentRss>
			<slash:comments>0</slash:comments>
		
		
			</item>
		<item>
		<title>【症例紹介】マウスピース矯正-1-（インビザラインGO）〈叢生〉</title>
		<link>https://www.sakaiclinic.or.jp/news/2727/</link>
					<comments>https://www.sakaiclinic.or.jp/news/2727/#respond</comments>
		
		<dc:creator><![CDATA[sakai]]></dc:creator>
		<pubDate>Mon, 13 Mar 2023 05:04:44 +0000</pubDate>
				<category><![CDATA[すべての症例]]></category>
		<category><![CDATA[マウスピース矯正]]></category>
		<category><![CDATA[新着情報]]></category>
		<guid isPermaLink="false">https://www.sakaiclinic.or.jp/news/2727/</guid>

					<description><![CDATA[<p>Before After Before After Before After 年齢 38歳 性別 女性 治療内容 インビザラインGOによる、叢生の治療 治療回数 （期間） 約半年間 治療費 418,000円（税込） リス [&#8230;]</p>
<p>The post <a href="https://www.sakaiclinic.or.jp/news/2727/" target="_blank">【症例紹介】マウスピース矯正-1-（インビザラインGO）〈叢生〉</a> first appeared on <a href="https://www.sakaiclinic.or.jp/" target="_blank">坂井おとなこども歯科</a>.</p>]]></description>
										<content:encoded><![CDATA[<section>
<div class="container gutters">
<div class="row bf-af col2">
<div class="before">
<figure><figcaption>Before</figcaption><p><span><img loading="lazy" src="https://www.sakaiclinic.or.jp/wp-content/uploads/22a849ca.jpg" alt="" class="alignnone wp-image-2730 size-full" width="1060" height="578" srcset="https://www.sakaiclinic.or.jp/wp-content/uploads/22a849ca.jpg 1060w, https://www.sakaiclinic.or.jp/wp-content/uploads/22a849ca-770x420.jpg 770w, https://www.sakaiclinic.or.jp/wp-content/uploads/22a849ca-1000x545.jpg 1000w, https://www.sakaiclinic.or.jp/wp-content/uploads/22a849ca-768x419.jpg 768w" sizes="(max-width: 1060px) 100vw, 1060px" /></span></p>
</figure>
</div>
<div class="after">
<figure><figcaption>After</figcaption><p><img loading="lazy" src="https://www.sakaiclinic.or.jp/wp-content/uploads/9b91dfa4.jpg" alt="" class="alignnone wp-image-2731 size-full" width="1060" height="596" srcset="https://www.sakaiclinic.or.jp/wp-content/uploads/9b91dfa4.jpg 1060w, https://www.sakaiclinic.or.jp/wp-content/uploads/9b91dfa4-770x433.jpg 770w, https://www.sakaiclinic.or.jp/wp-content/uploads/9b91dfa4-1000x562.jpg 1000w, https://www.sakaiclinic.or.jp/wp-content/uploads/9b91dfa4-768x432.jpg 768w" sizes="(max-width: 1060px) 100vw, 1060px" /></p>
</figure>
</div>
</div>
</div>
</section>
<section>
<div class="container gutters">
<div class="row bf-af col2">
<div class="before">
<figure><figcaption>Before</figcaption><p><span><img loading="lazy" src="https://www.sakaiclinic.or.jp/wp-content/uploads/caee6310.jpg" alt="" class="alignnone wp-image-2732 size-full" width="1060" height="596" srcset="https://www.sakaiclinic.or.jp/wp-content/uploads/caee6310.jpg 1060w, https://www.sakaiclinic.or.jp/wp-content/uploads/caee6310-770x433.jpg 770w, https://www.sakaiclinic.or.jp/wp-content/uploads/caee6310-1000x562.jpg 1000w, https://www.sakaiclinic.or.jp/wp-content/uploads/caee6310-768x432.jpg 768w" sizes="(max-width: 1060px) 100vw, 1060px" /></span></p>
</figure>
</div>
<div class="after">
<figure><figcaption>After</figcaption><p><img loading="lazy" src="https://www.sakaiclinic.or.jp/wp-content/uploads/6fd152c6.jpg" alt="" class="alignnone wp-image-2733 size-full" width="1060" height="596" srcset="https://www.sakaiclinic.or.jp/wp-content/uploads/6fd152c6.jpg 1060w, https://www.sakaiclinic.or.jp/wp-content/uploads/6fd152c6-770x433.jpg 770w, https://www.sakaiclinic.or.jp/wp-content/uploads/6fd152c6-1000x562.jpg 1000w, https://www.sakaiclinic.or.jp/wp-content/uploads/6fd152c6-768x432.jpg 768w" sizes="(max-width: 1060px) 100vw, 1060px" /></p>
</figure>
</div>
</div>
</div>
</section>
<section>
<div class="container gutters">
<div class="row bf-af col2">
<div class="before">
<figure><figcaption>Before</figcaption><p><span><img loading="lazy" src="https://www.sakaiclinic.or.jp/wp-content/uploads/d39faa52.jpg" alt="" class="alignnone wp-image-2734 size-full" width="1060" height="578" srcset="https://www.sakaiclinic.or.jp/wp-content/uploads/d39faa52.jpg 1060w, https://www.sakaiclinic.or.jp/wp-content/uploads/d39faa52-770x420.jpg 770w, https://www.sakaiclinic.or.jp/wp-content/uploads/d39faa52-1000x545.jpg 1000w, https://www.sakaiclinic.or.jp/wp-content/uploads/d39faa52-768x419.jpg 768w" sizes="(max-width: 1060px) 100vw, 1060px" /></span></p>
</figure>
</div>
<div class="after">
<figure><figcaption>After</figcaption><p><img loading="lazy" src="https://www.sakaiclinic.or.jp/wp-content/uploads/15ea9497.jpg" alt="" class="alignnone wp-image-2735 size-full" width="1060" height="596" srcset="https://www.sakaiclinic.or.jp/wp-content/uploads/15ea9497.jpg 1060w, https://www.sakaiclinic.or.jp/wp-content/uploads/15ea9497-770x433.jpg 770w, https://www.sakaiclinic.or.jp/wp-content/uploads/15ea9497-1000x562.jpg 1000w, https://www.sakaiclinic.or.jp/wp-content/uploads/15ea9497-768x432.jpg 768w" sizes="(max-width: 1060px) 100vw, 1060px" /></p>
</figure>
</div>
</div>
</div>
</section>
<table class="table01">
<tbody>
<tr>
<th style="text-align: center;"><strong>年齢</strong></th>
<td>38歳</td>
</tr>
<tr>
<th style="text-align: center;"><strong>性別</strong></th>
<td>女性</td>
</tr>
<tr>
<th style="text-align: center;"><strong>治療内容</strong></th>
<td>インビザラインGOによる、叢生の治療</td>
</tr>
<tr>
<th style="text-align: center;"><strong>治療回数<br />
（期間）</strong></th>
<td>約半年間</td>
</tr>
<tr>
<th style="text-align: center;"><strong>治療費</strong></th>
<td>418,000円（税込）</td>
</tr>
<tr>
<th style="text-align: center;"><strong>リスク</strong></th>
<td>取り外し可能な装置の為、治療の効果が使用頻度に左右されます。</td>
</tr>
</tbody>
</table><p>The post <a href="https://www.sakaiclinic.or.jp/news/2727/" target="_blank">【症例紹介】マウスピース矯正-1-（インビザラインGO）〈叢生〉</a> first appeared on <a href="https://www.sakaiclinic.or.jp/" target="_blank">坂井おとなこども歯科</a>.</p>]]></content:encoded>
					
					<wfw:commentRss>https://www.sakaiclinic.or.jp/news/2727/feed/</wfw:commentRss>
			<slash:comments>0</slash:comments>
		
		
			</item>
	</channel>
</rss>
